שברים בכתף: האם תמיד צריך ניתוח?
שברים יכולים להתרחש בכל אחת מהעצמות אשר מרכיבות את הכתף ולהוביל לכאב והגבלה ניכרת בתנועה. מהם סוגי השברים הקיימים, איך מאבחנים את מיקום השבר וסוגו והאם בכל מצב יהיה צורך בניתוח? ד"ר אופיר אורי, אורתופד מנתח מומחה כתף ומרפק וסגן מנהל מחלקה אורתופדית במרכז הרפואי הלל יפה עם התשובות
הכתף היא איבר חיוני אשר נוטל חלק מרכזי בביצוע מרבית פעולות היומיום, כמו גם פעילות ספורטיבית. מפרק הכתף מורכב משלוש עצמות (עצם הזרוע, עצם השכמה ועצם הבריח) היוצרות ביניהן את מפרק הכתף הראשי - בין ראש עצם הזרוע למכתש בעצם השכמה, ומפרק נוסף ברום הכתף - בין עצם הבריח לזיז הקדמי של עצם השכמה.
שברים יכולים להתרחש בכל אחת משלוש עצמות הכתף, בשל חבלה ישירה לכתף או במנגנון עקיף בשל העברת כוחות לאורך הגפה בעת נפילה על המרפק או על כף היד המושטת לפנים.
במבוגרים צעירים אופייניים שברים בכל אחת מעצמות הכתף עקב פציעות באנרגיה גבוהה באופן יחסי, בשל תאונת אופניים, תאונת אופנוע, פציעות ספורט מגע וכדומה. לעתים נלווה השבר לפריקה של מפרק הכתף או של מפרק עצם הבריח שמעליו. מדובר בפגיעות מורכבות יותר הדורשות התייחסות מיוחדת. במטופלים בגיל מתקדם יותר, הסובלים לעיתים קרובות מירידה בצפיפות העצם (אוסטאופורוזיס), אופייניים שברים בעצם הזרוע המקורבת בשל פגיעות באנרגיה נמוכה בעת נפילה מגובה עמידה, מעידה בבית וכדומה.

צילום רנטגן במנח קדמי-אחורי של הכתף. ניתן לראות את שלוש עצמות הכתף: עצם הזרוע, עצם השיכמה ועצם הבריח. מפרק הכתף הראשי נוצר בין ראש עצם הזרוע למכתש בעצם השכמה (1), מעליו מפרק נוסף בין קצה עצם הבריח לזיז הקדמי של עצם השיכמה (2).

צילומי כתף של שני מטופלים שונים לאחר חבלה משמעותית לכתף. בצילום מימין ניתן להתרשם משבר חוץ מפרקי בעצם הזרוע המקורבת, מפרק הכתף עצמו והמשטח המפרקי נותרו שמורים. בצילום משמאל ניתן לראות פריקה קדמית של ראש עצם הזרוע עם מספר קווי שבר תוך מפרקים.
מה ההבדל בין שבר חוץ מפרקי לבין שבר תוך מפרקי?
כתלות במנגנון הפגיעה הספציפי, השבר יכול להתרחש במרכז העצם ללא מעורבות של אזור הסחוס מפרקי (שבר חוץ מפרקי), או בקצה העצם בחלק הסחוסי, אשר בא במגע עם העצם הנגדית (שבר תוך מפרקי).
שברים תוך מפרקיים מורכבים יותר לטיפול, מערבים פגיעה בסחוס המפרקי וההחלמה בעקבותיהם עלולה להיות קשה יותר וכרוכה בסיבוכים. בשל מורכבותם של שברים אלו הטיפול בהם יהיה לרוב ניתוחי לצורך שיקום מהיר ויעיל שעשוי לסייע בשימור התפקוד של המפרק.
איך ניתן לאבחן?
האבחון מתבסס על סיפור המקרה בכל הנוגע למנגנון החבלה ונתוני המטופל. בנוסף, תתבצע גם בדיקה גופנית מקיפה וצילומי רנטגן לשם הדמיה ראשונית. מומלץ להגיע לטיפול במועד סמוך ככל הניתן לזמן הפציעה וכך לאפשר טיפול יעיל ולצמצם את הסיכוי להתפתחות סיבוכים בהמשך. הדבר נכון במיוחד במקרים בהם התרחשה פגיעה משמעותית שגורמת לכאבים עזים ולהגבלה בתנועת הכתף או היד, גם אם לא קיימים נפיחות או שטף דם מקומי. לעיתים, תידרש השלמת בירור באמצעות בדיקת CT של הכתף, כמו גם בדיקת אולטרסאונד או בדיקת MRI כדי לברר האם נגרם נזק נוסף לגידי הכתף או לשרירים.
האם תמיד אזדקק לניתוח?
במקרים בהם התזוזה בין חלקי השבר מועטה והמשטח המפרקי נותר שמור ניתן לטפל באופן שמרני, ללא התערבות ניתוחית. טיפול שמרני כולל עפ"י רוב קיבוע של היד במתלה כתף, קירור מקומי, נוגדי כאב, ופיזיותרפיה לצורך הפעלה מבוקרת של הכתף בסמוך לפגיעה. טיפולי פיזיותרפיה חיוניים לשם שיקום תפקודי וצמצום הגבלה שארית בתנועה. חשוב לעקוב אחר מנח השבר בצילומי ביקורת בפרקי זמן מוגדרים לאחר הפגיעה, בכדי לוודא כי לא חלה תזוזה במנח השבר, ולאפשר התערבות ניתוחית בחלון הזמנים המקובל במידה והתרחשה תזוזה. במקרים בהם נגרמה כבר בעת הפגיעה תזוזה משמעותית של חלקי השבר או פגיעה בהמשכיות המשטח המפרקי, יומלץ לרוב על ניתוח כבר בעת האבחנה הראשונית.
בשברים של ראש עצם הזרוע בהם גרמה הפציעה לשבר מרוסק בתזוזה נכרת שלא ניתן לשחזור וקיבוע באופן משביע רצון או במקרים בהם מדובר במטופל בגיל מתקדם עם איכות ירודה של העצם, יש לשקול ניתוח החלפת כתף בו מחליפים את חלק העצם הפגוע או את מפרק הכתף כולו בתותב מתכתי ייעודי. ההחלטה על סוג הניתוח המועדף מבוססת על גיל המטופל/ת, המצב הבריאותי ואיכות הגידים והשרירים סביב הכתף.

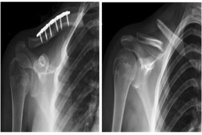
שבר בעצם הבריח בתזוזה וקיצור ניכרים, שטופל בניתוח לשחזור וקיבוע פנימי ע"י פלטה וברגים. בצילום מימין ניתן להתרשם מאופי השבר. בצילום משמאל ניתן לראות את הכתף ועצם הבריח לאחר הניתוח.
הגעתי לבית החולים ולאחר בדיקה ואבחון של שבר בכתף שחררו אותי הביתה, האם יש סיבה לדאגה?
לא. פעמים רבות גם אם יש צורך בניתוח, מקובל לבצעו בטווח של שבוע עד שבועיים ממועד הפגיעה על מנת לאפשר ספיגה של שטף הדם המקומי ובצקת הרקמה הרכה, אשר עלולה להפריע לריפוי בעקבות הניתוח. ניתוחי כתף אינם נחשבים לרוב כמקרה חירום רפואי ועל כן השהיית הניתוח מהסיבות הנ"ל מועדפת במקרים רבים ונחשבת פרקטיקה מקובלת.

שבר פריקה מורכב בראש עצם הזרוע (בצילום מימין), שטופל בהחלפה חלקית של מפרק הכתף (בצילום משמאל).
תוך כמה זמן אני צפוי/ה לחזור לעצמי?
פציעות בכתף ככלל ואלו המצריכות התערבות ניתוחית בפרט, דורשות החלמה ממושכת. לצורך חזרה לתפקוד מלא יש צורך בהחלמה מלאה של העצמות, הרצועות והגידים סביב הכתף, ובשחזור טווח התנועה הרחב וכוח השרירים בחגורת הכתף. בנוסף, מפרק הכתף לאחר פגיעה ובעיקר לאחר ניתוח מועד להתפתחות נוקשות סביב המפרק ("כתף קפואה"), הגורמת להגבלה בתנועה, כאבים ועיכוב השיקום. לכן, מהלך ההחלמה לאחר פגיעות וניתוחים בכתף עלול להיות ממושך ולהצריך טיפול תומך הכולל בין היתר פיסיותרפיה, הידרותרפיה, טיפולי רפואה משלימה ומרפאת כאב. חזרה לעבודה משרדית תתאפשר לרוב לאחר מספר שבועות, חזרה לעבודה פיזית ופעילות הכוללת עומס גופני תתאפשר לרוב לאחר מספר חודשים בלבד.

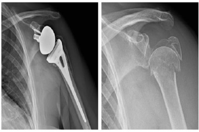
שבר מורכב בראש עצם הזרוע (בצילום מימין), שטופל ניתוחית בהחלפת כתף הפוכה (בצילום משמאל).
מהם הצעדים החשובים שיסייעו בשיפור סיכויי ההחלמה של הכתף לאחר שבר או ניתוח?
ראשית, חשוב לפנות לאורתופד בעל ניסיון בטיפול בפציעות כתף, שיבצע אבחון נכון ומקיף של סוג השבר ויתכנן את אסטרטגיית הטיפול בהתאם. מעבר לכך, קיימת חשיבות מרובה לתוכנית שיקום מתאימה המבוססת על פיזיותרפיה אינטנסיבית וטיפול תומך נוסף בהתאם לצורך. מכיוון שמדובר בתהליך החלמה ארוך והדרגתי, שיתוף פעולה מלא של המטופל/ת הכרחיים לשם הצלחת הטיפול וחזרה לתפקוד.
הכתבה בשיתוף עם ד"ר אופיר אורי, אורתופד מנתח מומחה כתף ומרפק וסגן מנהל מחלקה אורתופדית במרכז הרפואי הלל יפה. הכתבה נערכה על-ידי מערכת אינפומד.
האם המאמר עניין אותך?













תשובת מומחה 




