ניתוח הציל נער ששבר את מפרקתו בקפיצת אקסטרים
נער בן 15 שביצע קפיצת פארקור – פעילות אקסטרים של קפיצה ממקום למקום, שבר את מפרקתו לאחר שנפל מגובה רב. ניתוח חדשני שבוצע ברמב"ם הציל את חייו והוא שוחרר תוך זמן קצר ואף אינו סובל ממגבלות תנועה
נער בן 15 שביצע קפיצת פארקור – פעילות אקסטרים של קפיצה ממקום למקום, שבר את מפרקתו לאחר שנפל מגובה רב. ניתוח חדשני שבוצע ברמב"ם הציל את חייו והוא שוחרר תוך זמן קצר ואינו סובל ממגבלות תנועה
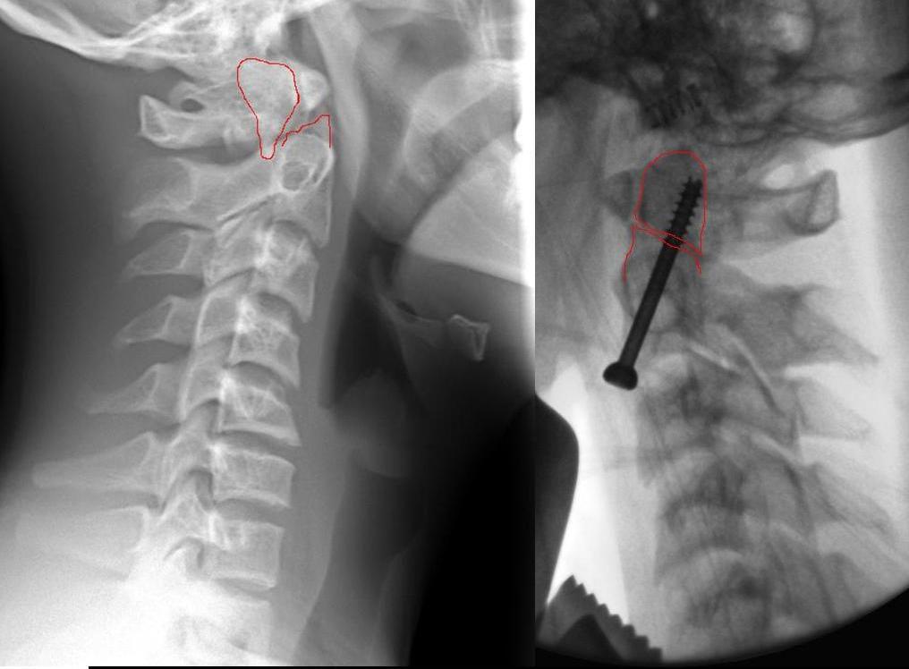
קפיצות הפארקור הפכה בשנים האחרונות ללא פחות מתופעה תרבותית במהלכה מבצעים קפיצות אקסטרים ממקום למקום, ולעיתים אף מגובה רב. במקרים רבים זה מסתיים ללא פגיעה, אבל קפיצה אחת יותר מדי, הובילה לחדר המיון בבית החולים רמב"ם בחיפה נער בן 15, תושב הצפון, שסבל משבר במפרקת כתוצאה מנחיתה לא נכונה.
הנער, שהגיע לפני כשבוע לחדר המיון עם חבלה חמורה בעמוד השדרה הצווארי, סבל משבר בלתי יציב בחוליה הצווארית השנייה, חבלה המוכרת יותר בשם "שבר במפרקת". חבלה כזו יכולה לגרום למוות כמעט וודאי, במקרה והשבר פוגע בחוט השדרה.
למזלו של הנער, הפגיעה נגרמה בחוליה מסוימת, שאפשרה לרופאים להציל את חייו, אבל גם לספק לו איכות חיים גבוהה בהמשך, זאת הודות לניתוח חדשני שכמוהו בוצעו בודדים בארץ, ונעשה לראשונה בצפון, במהלכו בוצע קיבוע לשבר, באמצעות בורג בודד בלבד.
לרשות המנתחים האורתופדיים ברמב"ם עמדו שלוש אפשרויות לטיפול בנער: האפשרות הראשונה כוללת קיבוע השבר באמצעות מקבע חיצוני מסוגHALO למשך שלושה חודשים. בדרך זו אין הבטחה לחיבור השבר באחוז גבוה וודאי, הדבר כרוך בצלקת במצח המנותח, תחלואה גבוהה, כשמעל הכול מדובר באי-נוחות מאד גבוהה למטופל עצמו.
במסגרת אפשרות שנייה מקובעות שתי החוליות הצוואריות C1 ו-C2 יחדיו ולמעשה, הן הופכות לתפקד כ"חוליה אחת גדולה", דבר הכרוך בהגבלה של 50% טווח מהתנועות הסיבוביות של הראש, לכל החיים. במקרה שכזה, מדובר בניתוח כירורגי מורכב עם סיכונים גבוהים למטופל.
על רקע סוג הפציעה וגילו של המטופל החליטו הרופאים לבחור בדרך לא שגרתית לטיפול ולקבע את השבר באמצעות בורג בודד בלבד מאזור בסיס הצוואר, מקדימה מעל עצם הבריח, ולהימנע כליל מפגיעה בוושט, בעורקים או בקנה הנשימה.
גישת הטיפול בנער הפצוע סייעה לרופאים להבטיח את קיבוע השבר המסוים בחוליה C2 באופן מידי, כאשר באופן זה, הסיכויים לחיבור העצם הינם הגבוהים ביותר. אולם החלק המהותי ביותר בניתוח הוא שטווח התנועות הסיבוביות של הצוואר נשאר כמו שהיה וביכולת הנער לבצע תנועות סיבוביות, תוך פחות מ-48 שעות מהניתוח.
את הניתוח ביצעו ד"ר אליאס חדאד, מנתח בכיר ביחידת עמוד שדרה ברמב"ם וד"ר עמית קרן, רופא בכיר במערך האורתופדי, בהנחיית ד"ר חנני עמוס, מנהל יחידת עמוד השדרה בביה"ח. בבדיקות ה-CT שבוצעו לאחר הניתוח, נמצא שהשבר שוחזר וקובע באופן משביע רצון, והנער שוחרר לביתו, כשהוא אינו סובל מכאבים משמעותיים.
"בניתוח שביצענו בנער החתך הניתוחי שנשאר הינו קטן, אין קדיחות בגולגולתו ואין ברגים מיותרים", מסביר ד"ר חדאד. "כדי לוודא שהכיוון והקיבוע של אותו שבר מתבצע בצורה האופטימאלית בוצע שיקוף באמצעות שני מכשירי דימות, כשהתוצאה שקיבלנו הייתה חייבת להיות מדויקת ביותר. ברגע שקיבלנו את התמונה המלאה, החלטנו לפעול בשיטת הקיבוע השלישית, שלמרות מורכבותה הטכנית, היתרונות שלה לרווחת המטופל בהמשך חייו, הינם הגבוהים ביותר".
כאשר רואים אדם הסובל מפגיעה באזור הצוואר כתוצאה מנפילה מגובה או מחבלה, ד"ר חדאד ממליץ שלא להושיב את הפגוע, לא לנסות להזיז אותו, לחייג מיד להזעקת עזרה ראשונה ולתאר את מהות הפגיעה באופן הרחב ביותר. בהרבה מקרים, הזזת אדם פגוע בפגיעות מהסוג הזה, כשהראש מוזז שלא באותו "ציר" עם הגוף, יכול להיגרם נזק חמור למטופל, שיכול להסתיים אף במותו.
האם המאמר עניין אותך?
נושאים מרכזיים
-
מחלות קשורות
-
שבר בבסיס הגולגולת
-
טיפולים וניתוחים קשורים
-
ניתוח פריצת דיסק
-
בדיקות קשורות
-
CT, סי טי
אולי יעניין אותך - מאמרים נוספים בתחום בריאות כללית
שאלות מתוך פורום כירורגיה כללית
-
פענוח בדיקת us רקמות רכות
רקפת 27/01/2013 | 10:29בתוך הגליאה מודגם ממצא היפואקוגני, ללא זרימת דם בתוכו, יתכן ציסטי, קוטרו כ 6 מ"מ ועוביו כ 1 מ"מ. הרופא המליץ לי לנתח ולהוציא את ההמצא, ללא בדיקת ct. רציתי לדעת מה הסיכוי שהממצא מסוכן והאם באמת עדיף פשוט להוציא או שכדאי קודם לעשות ct כדי לראות טוב יותר במה מדובר. במה כרוך התהליך של הוצאת הממצא? האם מדובר בהליך מורכב?פתח בחלון חדש-
תשובת מומחה
פענוח us רקמה רכה
דר' אוריאל בן אהרן 27/01/2013 | 13:22רקפת שלום, התיאור מצביע על גוש טב, זעיר. בדיקת CT לא תקדם את הענין. היות וכך, ניתן בנקל להסירו כדי לאפיין את טיבו, להבנתי לא מדובר בהליך מורכב, בברכה, -
פענוח בדיקת us רקמות רכות
רקפת 27/01/2013 | 13:26תודה רבה על התגובה המהירה, שאלה נוספת: האם יתכן כי הגוש גורם לכאבי ראש עורפיים? (הגוש נמצא בחלק התחתון של הראש ) -
תשובת מומחה
פענוח בדיקה
דר' אוריאל בן אהרן 27/01/2013 | 13:32לעניות דעתי מדובר בממצא אקראי. אין זה סביר שהגוש גורם לכאב ראש עורפי. אני מבקש לציין כי אני לא עוסק בכך. נכון לקבל מענה מקצועי מהרופא המטפל בך. יום טוב, -
ממצא בכליה השמאלית
כליה שמאלית 20/07/2023 | 08:35בעלי עבר בדיקה אולטראסונד בגלל כאבים בצידי הבטן בבדיקה גילו ממצא איזואוקגני בקוטר 1.3 ס"מ ללא זרימת דם והוא הופנה לבירור CT האם זה אומר על גידול כל שהוא והאם זה מצריך טיפול דחוף
-
-
כאבים בצד שמאל בטן עליונה
לאה 17/07/2013 | 14:42שלום , כבר במשך חצי שנה אפילו יותר אני סובלת מכאבים בבטן העליונה ממש מתחת לצלעות בצד שמאל, כאבים שהם נסבלים אך לרוב גורמים לי אי נוחות לפני שינה או כשאני נוהגת ואף אחרי שאני אוכלת. פניתי לרופא משפחה והוא שלח אותי לצילום צלעות ולאולטראסאונד הכל יצא תקין מלבד פוליפ קטן בכיס המרה שבכלל לא הפריע לי , והרופא אף אמר שיש להיות במעקב אחריו . עשיתי בדיקות דם והכל יצא תקין גם כן . ממה הכאבים יכולים לנבוע ? יש ימים שאני שאני מאוד סובלת מהם והם כואבים בנקודה מסויימת שאני אפילו יכולה להצביע עלייה .פתח בחלון חדש-
תשובת מומחה
כאב בבטן שמאל עליונה
פרופ' משה פפא 18/07/2013 | 00:36הסיבות לכאב בבטן שמאל עליונה עלול להיגרם מסיבות שונות. נראה שהבדיקות הראשוניות היו תקינות. לפוליפ קטן בכיס המרה אין משמעות פרט לצורך במעקב. מעבר לכך כיס המרה נמצא בבטן ימין עליונה. במידה והכאב מטריד וגורם לסבל יש לפנות להמשך בירור אצל כירורג או גסטרואנטרולוג על מנת לשלול סיבות אחרותץ בברכת רפואה שלמה -
פניתי למומחה
לאה 18/07/2013 | 08:07שלום , תודה על המענה פניתי למומחה כירוג הוא נתן לי דף עם המלצה לבדיקת נשיפה אצל הרופא משפחה שלנו אל הרופא פסל את האפשרות ואמר שהכל תקין . מה עלי לעשות אם אני עדיין סובלת מהכאבים ? אני חייבת לציין שלפני כשנה וחצי בערך סבלתי מדלקת בדרכי הנשימה , יכול להיות שזה משהו שקשור לזה ? יכול להיות שסתם נתפס לי שריר הרבה זמו באזור הזה ? -
תשובת מומחה
כאב בצד שמאל של הבטן
פרופ' משה פפא 18/07/2013 | 19:15לבדיקת נשיפה לצורך זיהוי חידק הליקובקטר פילורי בקיבה אין קשר לזיהום בדרכי הנשימה. באם הכאב מטריד מציע שתפני ליעוץ אצל גסטרואנטרולוג או כירורג. אפשרות נוספת היא בדיקת הכליה. מצעי לעשות בתאום עם רופא המשפחה. -
האם גילית מה היה לך?
קרן 17/12/2013 | 22:54יש לי סימפטומים זהים כבר כמה שבועות, בדיקת נשיפה תקינה, אולטרה תקין, בדיקות דם תקינות. מנסה עדיין להבין אם זה גסטרו/שריר/ריאות.. אולי תחסכי לי טירטורים מיותרים.. -
כאב מתחת לצלעות צד שמאל
אתי 04/01/2014 | 21:21גם לי יש אותם סיפטומיים כבר הרבה מאד אפילו הפך לכאב יום יומי כאב חגורה האם נמצא פתרון?? -
מעניין גם לי יש את אותה תופעה
Avi 12/01/2014 | 16:06התחיל בכאב בבטן שמאל עליונה ועבר לאי נוחות. כאשר בתווך קיבלתי אנטיביוטיקה לאליקובקטר. ( האם יש קשר) בדיקת קולנסקופיה תקינה ( מפי הטעבעת ומהפה). מעבר לכך הגסטרולוג לא מצא לנכון לבצע בדיקות נוספות אוללוג שלל את האפשרות שיש בסימפטומים אלה להעיד על בעיה מתחום ממחויותו. -
תשובת מומחה
כאבים בבטן שמאל עליונה
פרופ' משה פפא 13/01/2014 | 11:33הפורום אינו יכל לתפקד כבדיקת רופא. איני חשוב שזה קשור לדלקת במע' הנשימה מלפני שנה וחצי באם את עדיין סובלת מכאבים והם מטרידים ומפריעים. ממליץ לפנות שוב לרופא בברכת רפואה שלמה -
כאב בטן
רחל 25/01/2014 | 23:09כבר חודש כואב לי בצד שמאל של הבטן כמו כוויה כאב נקודתי מה עליי לעשות? -
אסף 05/06/2014 | 20:40לאה שלום אני מרגיש כך במשך שנתיים האם את יודעת או הצלחת לברר מה זה -
אולי זה קשור לטחול?
ציון 14/06/2014 | 11:54הטחול נמצא בבטן עליונה מצד שמאל אני סובל מכאב כזה שמתגבר עם הליכה. -
כאבים באיזור הטחול והטבור
דנה 19/06/2014 | 03:05ממש כואב באיזור השמאלי מתחת לצלע ובאיזור הטבור. הרגשה של שריר תפוס ודקירות חזקות והרגשת שריפה. בקולונוסקופי ובאדוסקופי מצאו שאני חולת ציליאק וגם מצאו את חיידק הh palori , סיימתי לקחת את התרופות ל חיידק והתחלתי דיאטת GF . האם הכאב הזה יכול לנבוע מה ציליאק? למרות שאני כבר 3 חודשים GF? -
כאב בצלעות בצד ימין ושמאל
עמית 30/07/2014 | 12:29כ5 חודשים יש לי כאב מציק מתחת לצלעות זה התחיל בצד ימין ועבר לשמאל כאב ממש מטריד ומציק ואורטןפד אמר משהו על דלקת בעצב הגיוני? ולמה זה לא עובר??? -
תשובת מומחה
כאב
פרופ' משה פפא 30/07/2014 | 14:28אם עברו מספר חודשים ועדיין יש כאבים על מנת להמשיך ברור פני שוב לרופא. אם רופא המשפחה הוא זה שמטפל אז איליו. ותבקשי פתרון/בדיקות. -
גם אצלי ככה
מילי 02/08/2014 | 08:15אצלי אותו הדבר כבר עשרה חודשים... הכאב הזה הנקודתי בבטן שמאל... מצאו לי הליקובקטור, לקחתי אנטיביוטיקה, מיפוי עצמות תקין... הכאבים עדיין קיימים... רוצה ללכת לעשות MRI כי בעקבות הכאב בבטן התחילו גם כאבים בכל צד שמאל של הגוף, כתף, יד, ברך, אגן... מה לא... -
תשובת מומחה
כאבים
פרופ' משה פפא 03/08/2014 | 03:24ראשית רציתי להדגיץש ץשהפורום אינו מרפאה ולא ניתן לטפל דרכו . רק במקרה הטוב לקבל אינדיקציה הסבר או רעיון. כעת ספציפית. אין קשר בד"כ בין כאב בכתף שמאל.הליקובקטר. כאב בבטן שמאל וכאב בברך ובכלל בצד שמאל. כל תלונה צריכה להבדק לגופה. תחילה על ידי רופא המשפחה ובהמשך על ידי המומחים. במידת הצורך ניתן להוסיף בדיקות; מעבדה או הדמייה מצילום פשוט עד ct או mri לשיקולו של הרופא המטפל שבוע טוב ושקט ורפוא שלמה -
אותם סימפטומים בדיוק!
מיכל 08/08/2014 | 22:16הי דנה, יש לי אותם סימפטומים בדיוק שהכאב מתחת לצלעות צד שמאל החמיר. אין לי צליק, לא נבדקתי לפילורי. האם גילית מה יש לך? תודה המיואשת -
כאבים בטן שמאל עליונה
המיואש 27/09/2014 | 18:07שלום לכולם, אני סובל מכאבים זהים למה שתיארתם כבר כמה שנים ועשיתי עשרות בירורים עד לכדי יאוש טוטאלי. אשמח מאוד לדעת אם מישהו מצא פיתרון שהעלים לו את הכאבים או בדיקה מסויימת שהוא נשלח אליה למרות שהלא הביאה תועלת תודה -
תשובת מומחה
כאב בבטן שמאל עליונה
פרופ' משה פפא 29/09/2014 | 10:30בבטן שמאל עליונה קיימים עוד מספר אברים דוגמת הטחול, מעי גס, קיבה ולבלב. מציע שתפני לגסטרואנטרולוג על מנת להרחיב את הברור. שנה טובה ובריאה -
כאבים מתחת לצלעות
רננה 17/12/2014 | 18:15שלום ,גם לי יש את הכאבים המתוארים כאב שלא מציק במיוחד אבל אני מרגישה אי נוחות בישיבה ממושכת ובכלל .. לפני כשנה וחצי היו לי אותם כאבים ובבדיקת נשיפה התגלה לי חיידק האליקובקטור יכול להיות שהוא חזר ?? -
כאבים בצד שמאל מתחת לצלעות
מילי 25/04/2015 | 19:51מזה מספר ימים סובלת מכאבים מתחת לצלעות בצד שמאל טיפה למטה עם נטיה לכיוון מותן וגב.כאב נקודתי בעיקר בזמן ישיבה הליכה כיפוף נגיעה קושי מעט בנשימה.לא הספקתי ללכת לברור אצל רופא משפחה מכיווןמ שבדיוק היה חג.אשמח לתגובה:) -
כאבים בצד שמאל מתחת לצלעות
מילי 25/04/2015 | 19:53מזה מספר ימים סובלת מכאבים מתחת לצלעות בצד שמאל טיפה למטה עם נטיה לכיוון מותן וגב.כאב נקודתי בעיקר בזמן ישיבה הליכה כיפוף נגיעה קושי מעט בנשימה.לא הספקתי ללכת לברור אצל רופא משפחה מכיווןמ שבדיוק היה חג.אשמח לתגובה:) -
דלקת עצב
רונית 13/07/2015 | 23:35אני לא יודעת אם יש דבר כזה דלקת עצב אבל באתר שראיתי קראתי שכאבים בצד שמאל יכולים לנבוע מרגשות של כעס,עצב,דיכאון וכול מיני רגשות... אני לא יודעת עד כמה זה נכון ואולי תלכי להיבדק שוב אצל רופא ליתר ביטחון... -
יש לי אותם סמפטומים בדיוק
חיים 20/10/2015 | 02:10האם מצאת את הסיבה? -
מה הגורם לדבר
מנסה להבין 25/01/2016 | 11:25גם לי יש כאבים מתחת לצלעות צד שמאל.. אולי זה קשור למקום עבודתנו אני עובד באלקטרוניקה עם הלחמות וחומרי דילול כאלו ואחרים... בלי קשר יש לי גם כבד שומני ואני בעודף משקל במקום 70 אני שוקל 90 אולי יש קשר לזה? האם כולם בעודף משקל אולי הרזיה תעצור את הכאב? אולי המקום עבודה? -
כאבים במותן צד שמאל
גדי הוכברג 15/04/2016 | 09:54שלום רב לפני כ20 שנה עברתי ניתוח להוצאת פוליפ ממאיר מהרקטום מאז הכל בסדר, לפני כשניים הופיע לי פתאום שטף דם רקטלי נבדקתי בקולונוסוקפיה האבחנה היתה טחורים פנימיים, לפני כשבועיים החלו יציאות ממש רכות עד כדי אי שליטה על הסוגר, כשלש פעמים ביום, לפני כ4 יימים החלו כאבים בצד שמאל ברום הבטן, אתמול לפתע גיליתי דימום בעת יציאה, מה עלי לעשות אני ממש מודאג אשמח לקבל תשובה -
בהמשך
יאיר 03/07/2016 | 12:47יש לי אותה בעיה... חשבתי שמדובר בבעיה לבבית עשיתי אקו לב, CT רנטגן בדיקות דם ועוד. ב"ה הכל יצא תקין עד עכשיו. עדיין יש כאבים חזקים שמופיעים מס' פעמים ביום וחולפים להם. האם מישהו קיבל אבחנה מדויקת? -
דורון
דורון 17/08/2016 | 11:12אותו סמפטום שמתואר כאן: אי נוחות על סף כאב אבל לא ממש כאב בבטן עליונה בצד במאל ממש שתי אצבעות מהצלעות. אי נוחות או הרגשת לחץ בייחוד בישיבה כאשר המקום מקופל. ה "חוסר נוחות" הזה מציק מאוד, קיים כל הזמן כבר חצי שנה....CT לפני שנתיים תקין, אקו לב תקין...רקע של כאבי בטן שונים כבר שנתיים - אז ההבחנה הייתה דיספפסיה פונקציונאלית (כמו מעי רגיז רק לאיזור בטן עליונה). אשמח אם למישהוא אבחנה שקיבל - ברור שהפורום לא מחליץ ייעוץ רפואי אבל כיוון כלשהוא??? -
תשובת מומחה
כאב משמאל
פרופ' משה פפא 17/08/2016 | 23:31לצערי מבלי לבדוק ולעבור על בדיקות לא ניתן להציע אבחנות אולי תפני לגסטרואנטרולוג או כירורג בברכה -
לשלול אבנים בכיס המרה
אורה 23/08/2016 | 22:22סבלתי מכאבים מהסוג המתואר פה. הלכתי למיון אחרי במהלך התקף של כאב חד. במיון בדקו ושללו התקף לב וקריש דם. חשבו הקרנה מפריצת דיסק שהיתה לי. הלכתי הביתה אחרי חצי יום במיון וחשבתי שזה מאחורי. כמה שבועות לאחר מכן היה לי שוב התקף כזה, גשכל הזמן ביניהם היה כאב מעצבן וחוסר נוחות. קראתי קצת ואבינתי את עצמי עם אבנים בכיס המרה. פניתי לגסטרואנטרולוג לקבל את האוקיש ואכן הוא אישר את האבחנה. כרגע בדיאטה ללא שומנים בתקווה למנונ את ההתקף הבא. הצעד הבא הוא ניתוח (לפרוסקופי) להוצאת כיס המרה -
כאב בצד שמאל שמקרין לעבר החזה
ביסמוט ויקטור מושב שפר בגליל 11/09/2016 | 21:14מזה יותר משנה אני סובל מכאבים קשים בצד שמאל שמקרינים לכיון החזה הכתף והצלעות הכל בצד שמאל היות ואני סובל מבעיות לב מעקפי מס צינטורים גםמסכרתcopd ועוד מס בעיות החשד הוא תמיד לכיון הלב אך לאחר בדיקת דם במיון וגם לאחר akg אני משוחרר לבית ומופנה לרופא המשפחהלברור מספר פעמיםעשו לי דיקור אך אני ממשיך לסבול מכאבים ולפעמיםעזים ומטרידים מאד במשך כל היממה ממש הגעתי למצב שבו איני יודע מהלעשות אשמח לקבל עזרה שמי ביסמוט ויקטורבן 66 מתגורר בגליל טל 0542449213 תודה והשמח לקבל תשובה גם בתשלום -
אי נוחות לחץ בקו בית החזה צד משאל !
אלי 19/10/2016 | 17:35בן 25 כבר שנה סובל מהכאב המטורף הזה בהתחלה חשבו שזה התקף חרדה . מין לחץ חוסר נוחות שכזה שהיה נמצא 24/7 ! ואז הבינו שזה לא התקף חרדה והתחילו לשלוח אותי לבדיקות עשיתי כל בדיקה אפשרית :בדיקות דם(ניראלי כל בדיקת דם אפשרית) אקו לב,מיפוי לב,מבחן מאמץ,תבחין נשיפה לחיידק ההוא,בדיקת ריאות,גסטרוסקופיה ולבסוף ה-בדיקה CT שבה יצא שהכל תקין . לפני כל הבדיקות האלו הייתי מחפש את הבעיה בגוגל ומנסה לברר מה יש לי . אני לא ממליץ לעשות את זה כי לי זה היה עושה לחץ מטורף-שרק עושה יותר גרוע . הייתי חושב שאני חולה במחלות קשות-ככה שגוגל לא עוזר למי שבמצב הזה.לא להסתכל! אני רוצה קצת לפרט על הבעיה שמי שסובל ממנה לא יחשוב שהוא מטורף,כי לרופאים אין הסבר ואין מה להגיד,פשוט מורחים אותנו. הכאב נמצא 99 אחוז בזמן ישיבה,בעמידה אני כמעט ולא מרגיש אותו,כשאתם יושבים לדוגמא על כסא מחשב- נסו לקחת את המשענת גב אחורה-זה מאד מאד עוזר- או כשיושבים רגיל להטות את הגוף לצד שמאל או ימין. רכינה קדימה של הגוף בזמן ישיבה ,תמיד עוזרת ! עוד דבר,בתקופות לחוצות הכאב מכפיל את עצמו-אז נסו להירגע. כאשר עסוקים במשהו הכאב פוחת אך עדין תמיד נמצא שם. אם מישהו מכיר ויודע עוד משהו לגבי הדברים האלה אשמח לשמוע גם. רפואה שלמה . -
יכול להיות שזה "הרניה" בקע סרעפתי גולש
יובל 03/11/2016 | 14:09מויקיפדיה "בקע גולש, אינו גורם לתסמינים. יחד עם זאת, אם מופיעים תסמינים, יהיו אלו קשורים למעבר של תוכן חומצי מן הקיבה אל הוושט, ולרפלוקס קיבה-ושט. מצב זה גורם לצרבת ולפגיעה ברקמה המצפה את חלקו התחתון של הוושט". -
המשך עדכון...
אלי 17/11/2016 | 13:25דורון אתה היחיד שפגעת בתגובה שלך לגבי התסמינים , זה אחד לאחד מה שיש לי... האם גם אתה מזדהה עם הפרטים שרשמתי 2 תגובות למעלה ?!?!? אמרו לי שאני צריך לעבור בדיקת מנומטריה .. האם מישהו עם התסמינים הללו עבר אותה גם ?!? -
תיארת במדויק!!
אבי 28/11/2016 | 00:16ומה הבעיה והפתרון לזה? -
המשך עדכון
אלי 29/11/2016 | 11:25הלוואי והייתי יודע מה הפתרון ומה בכלל הבעיה ... יש לי עוד שבועים פגישה עם רופא גסטרו ... שכנראה ישלח אותי לעוד בדיקות...ואמשיך לעדכן.. מה עם שאר האנשים פה ? האם הפסיק לכם ? נחלש ? אותו דבר ? חברים לעדכן בבקשה. -
גם אני
הסובל 11/12/2016 | 18:04כבר 3 שנים עם השריפה אי נוחות בעירה עמומה כאב בחזה בטן עליונה צד שמאל שמופיע בעיקר בשכיבה אחרי אוכל או בישיבה עשיתי אמאראי חזה יצא תקין לקחתי ציפרלקס ונקסיום וקלונקס ונקסין שום דבר לא עוזר אני כבר לא יודע מה לעשות עומד להשתגע זה סבל איום ונורא מחכה לאולטרסאונד בטן עליונה הגסטרו אומרת שאולי זה אבנים בכיס המרה ורופא אחר אמר שזה ריפלוקס ורופא אחר אמר זה תסמונת טיצה גסטרוסקופיה גם יצא תקין איזה הזוי זה!!!!! -
.....
אלי 11/12/2016 | 20:14גם לי אמרו תסמונת טיטצה ... ואני מרגיש שזה בכלל לא זה , המקום לא כואב לי כשאני נוגע בזה כמו שרשום על תסמונת טיטצה. הוא פשוט כואב ללא הפסקה,מין לחץ פנימי שקשה להסביר את ההרגשה.. אצלי זה לא בוער כמו שתיארת. אני מקווה שנעלה על זה בהקדם, ולהמשיך לעדכן כל מי שחווה תסמינים דומים המתוארים פה, ביחד אפשר להיגמל מהכאבים המייסרים. -
כאב צידי בשמאל
רונית 03/01/2017 | 09:44מה שאתם מתארים . אחד לאחד יש לי הלכתי לרפלקסולוג בעל שם בביח , והוא טוען שזה מהטחול, מן לחץ שנוצר בגלל ורידים שעוברים במקום ״ועובדים קשה״ כיוון שאין זרימה טובה של דם מה שמוביל לקשר עם לחץ דם...ההוראות שלו היו קודם כל להירגע, תה קמומיל, דיאטה של מטוגנים חלב לחם לבן ופחמימות כד לתת לטחול להתאושש ולא להלחם בכל המזונות האלו, כמן כן מצב רגשי משפיע מאוד. הוא נתן ברזל, חומצה פולית, ויטמין די ותרופה אומאופתית שנקראת אוניה דה גאטו לא עבר לי אבל אני רק בהתחלת הניסוי הזה.. -
כאב בצד שמאל
אלי 15/01/2017 | 16:33חברים גם אני סבלתי מזה מעל 3 שנים עברתי את כל הבדיקות האפשריות. בשנה האחרונה התחלתי דיאטה ופעילות גופנית, וברוך השם אין כל סימן לכאבים. בקיצור זה מדהים הכל נובע מלחץ מטורף או שחיקה יומיומית ברגע שנרגעים לתקופה ממושכת ועובדים על זה קשה זה מסתדר מעצמו באחריות. -
המשך עדכון....
אלי 27/01/2017 | 23:39עדין ללא פתרון לבעיה,שוקל לעבור בדיקת BIOCURE שאולי יכולה לעזור במשהו אחרי הכל אין עוד הרבה אופציות,הרופא גסטרו משייך את הבעיה הזו למעי רגיז,שלאחר קריאה נרחבת לא כל כך מתאימה במדיוק לתסמינים ובנוסף לרפואה אין פתרון בנושא.דבר שהכי מתסכל במידה וזו באמת הבעיה. עוד דבר ששמתי לב לאחרונה ורציתי לשתף וכמובן לדעת אם גם אצלכם זה ככה- שהלחץ בחזה+ חוסר נוחות ברום הבטן בשעות הבוקר לאחר שינת לילה ואי אכילה בשלוש שעות לאחר השקמה -הכאב פוחת ועם האכילה הראשונית הגוף לאט לאט במשך 3-4-5 שעות חוזר לכאב הרגיל ולא משנה מה לא מרפא גם אם אצום בהמשך היום. אשמח לשמוע עוד התייחסויות בנושא -
המשך עדכון
אלי 19/03/2017 | 17:57אני חייב לשתף,עדיין לא עלו על מה שקורה עם האי נוחות בבטן העליונה -לחץ בחזה שמאל שנמצא 24/7 ומופחת בעמידה אבל הרופאת משפחה הביאה לי כדור בשם קלנוקס שאמור להפחית לחץ וחרדה, ומיד לאחר יומים שהתחלתי לקחת אותו הרגשתי הפחתה בכאבים ב50 אחוז. הלחץ עדין נשאר וגם החוסר נוחות אבל הם ירדו בצורה משמעותית,לפי הבנתי קלונקס הוא כדור מאד חזק המשפיע על מערכת העצבים ומרפה שרירים וכנרא שהבעיה היא אחת מהתופעות הנ"ל כי חרדה זה לא -
ואוו
סוזי 11/04/2017 | 10:33ואאו מתארים את מה שעובבר עליי בדיוק פשוט מתיש -
באותה בעיה כבר שנים
לי 19/04/2017 | 22:01שנים שאני גם סובלת מאותו כאב בצד שמאל ממש מתחת לצלעות כמו כאב עם מכת חשמל עולה ויורד ממש לא נעים, הלוואי שאדע מה זה -
כאב בצד שמאל מתחת לבת החזה
זהבה 24/04/2017 | 13:03יש לי מזה מספר ימים כאב בצד שמאל מתחת לבית החזה. לפעמים מרגישה כמו חשמל העובר עד לכתף ויד שמאל האם מישהו נתקל בכאב מוזר כזה -
לגבי התסמינים שיש לכם בצד שמאל
שירן 16/05/2017 | 00:37שלום לכולם במשך שנתיים סבלתי מכאבים עזים בצד שמאל בבטן העליונה מתחת לחזה ונוטה קצת לאמצע היו לי גם רפלוקסים והרגשה שהאוכל ניתקה בושט לבסוף עשיתי גסטרו וגילו לי מחלה שהיא די חדשה קוראים לה מחלת eoe זה הקיצור שלה גם לי בהתחלה חשבו שזה צליאק בסוף לאחר בדיקות שללו זאת. את המחלה שלי אפשר לאבחן רק באמצעות גסטרו כי בעצם זו דלקת בושט שנגרמת מסוגים שונים של מזון מציאה לכל מי שיש לו תסמינים ולא מוצאים לו מה זה וכל הבדיק'ות שלו תקינות כדי לו לקרוא קצת על המחלה באינטרנט ולהתייעץ עם רופא משפחה/ גסטרולוג לגבי בדיקת גסטרו. מקווה שעזרתי ואם יהיו שאלות אשמח לענות עליהם Eosinophilic Esophagitis זה השם המלא של המחלה בעברית השם המלא שלה הוא : דלקת ושא אאוזינפילית. -
גם אני סובלת מזה 8 חודשים בכאב באגן שמאל שמקרין לגב מצדנשמאל
ליאת 16/05/2017 | 08:02כאב נקודתי מעל עצם האגן עד לגב צד שמאל. לאורך זמן שמתי לב שהוא מתפשט לרגל שמאל (ירך) ולבטן שמאל עליונה. הקושי הוא בהליכה ממושכת, ישיבה ממושכת ובשכיבה ממושכת. לכן חייבת להיות כל הזמן בתנועה כדי להקל על הכאב. אחרי בדיקות רבות (גסטרו, אנדומטריוזיס, צילום אגן, אבל לא MRI כי זה יקר לקופה ולסיטי סרבתי) רק באולטראסאונד אובחן בקע של חצי ס״מ על ס״מ באיזור. כירורג צעיר מיהר לשלוח לניתוח על סמך אבחנה זו - כמובן שסרבתי. רופאת משפחה גם שללה שמדובר בכאב מהבקע הנל ואמרה שבקעים כאלה נפוצים. טענה שמדובר בשרירים במותן שכנראה נפגעו מאיזושהי סיבה והמליצה על לחיצות (דיקור עמוק) לשרירים האלו. -
כאב צריבה/שריפה בצד שמאל
ארין 25/05/2017 | 19:22גם אני סובלת מכאב בבטן העליונה בצד שמאל. כמו רבים כמוכן גם לי שללו מחלות שונות. לאחר קריאה באינטרנט הבנתי שמים קרים/גלידות/אוכל קר/משפיעים על הטחול וגורמים לכאבים. ממליצה שתנסו שני דברים: 1. להמנע משתייה/אוכל קר (שתייה בטמט' חדר) 2. להוריד מספר ק"ג מהמשקל, דבר שעוזר מאד. בהצלחה לכולם. -
בקשר לבעיה
סמי 13/07/2017 | 20:40האם גם לכם יש לחץ בשינה בצד שמאל שיושנים על הבטן כי אני פשוט לא יכול לישון על צד שמאל בכלל כבר תקופה ארוכה -
בקשר לבעיה
סמי 13/07/2017 | 20:45האם גם לכם יש לחץ בשינה בצד שמאל שיושנים על הבטן כי אני פשוט לא יכול לישון על צד שמאל בכלל כבר תקופה ארוכה -
אותה בעיה
אלון 20/07/2017 | 23:34אותה בעיה .. מעניין מה זה -
גם לי היו כאבים בכל מיני מקומות
יוסיקו 23/07/2017 | 14:57גם לי היו כאבים בבטן ובעוד מקומות חלק חשבו שקשור לחלק הנפשי וייתכן. אבל תכל'ס יש לי בקע סרעפתי והרופא נתן לי לקחת אומפרדקס, 2 ביום- ופלא!!! הכאבים עברו. מישו אמר לי שאומפרדקס נקראת תרופת פלא לכאבי בטן. ושיהיה ברור, אני לא רופא, אבל אם הרופא מציע לכם את התרופה הזאת לפחות תנסו! -
כאבים מתחת לצלעות חזה שמאל
חיים 29/07/2017 | 11:56היי בן 54 סובל מהכאבים אם נקרא לזה כך אע יותר נכון מיחושים לא נעימים והגגדת אמ נוחות. עברתי us יצא תקין בעיקר כליות לבלב וטחול אובחנה אבן גודל 1.9 בכיס מרה צד ימין כירוג אמר אין קשר ואין צורך לנתח מלבד מעקב חצי שנתי ודיאטת מטוגנים וביצים לעצם העניין רופאת המשפחה טוענת דיש קשר בין דחק מצב נפשי רדוד דאגנות יתר וכמובן חרדתיות ממנה אני סובל המון שנים השאלה אם סיפטומים פיזיים נטו יכולים כל הזמן " ליפול " על מצב נפשי מה דעתכם חברים יקרים אם למישהו יש מידע נוסף בנושא אשמח חיים. -
מישהו מצא פתרון לבעיה ?
מזור 21/10/2017 | 18:13ממשיך לסבול -
כאבים בטן עליונה צד שמאל
הכואבת 23/10/2017 | 09:54מזה שבוע ימים אני סובלת מכאבים בבטן עליוני צד שמאל בערך באזור המותן ולפעמים יש הקרנה לכיוון מרכז הבטן. אחרי אוכל הכאב נרגע מעט ואח"כ חוזר. הרופא טוען שזה מהמעיים. לקחתי כדורים ביולוגיים במשך שלוש שנים וחצי שגרמו לי שלשולים אין סופיים, עכשיו הפסקתי האם הם גרמו לי נזק בריר הקיבה. מדוע הכאבים? -
תשובת מומחה
כאבים
פרופ' משה פפא 23/10/2017 | 10:12הפורום לא נועד לבדיקה ואבחון בכל מקרה אבחון כיב נעשה בגסטרוסקופיה על ידי גסטרואנטרולוג -
בקשת עזרה
אבי תורגמן 13/11/2017 | 19:59לפני חודשיים התחילו לי כאבים חזקים בצד שמאל של הבטן הכאב שורף וצורב עשיתי סי טי 3 פעמים אולטראסאונד 2 צילומי חזה רנטגן ולא מוצאים לי כלום הכאבים רק מחריפים שאני מנסה לשבת הם הכי כואבים חודשיים אני עומד הוא שוכב שכן הכאבים פוחתים משמעותית עשיתי דיקור סיני לא עוזר כוסות רוח לא עוזר משחות כדורים לא עוזר למישהו יש רעיון איך אפשר להעלים את הכאבים כי אני סובל -
תשובת מומחה
כאב בטן
פרופ' משה פפא 14/11/2017 | 10:01לצערי הפורום אינו מקום בו ניתן לתת עצות רפואיות לבעיות קליניות מציע לפנות לגסטרואנטרולוג או כירורג -
תרופות נוגדות צרבת
שרית 21/11/2017 | 18:56לאחרונה קראתי מאמר על מחקרים שבוצעו באנגליה ונמצא כי כל תרופות הנוגדות כמו אופרדקס לוסק נקסיום וכל המשפחה יכולים לגרום לסרטן הקיבה תשובתך אודה -
כאבים בן תחתונה צד שמאל
אייל 23/11/2017 | 10:49ניראה שגם אני בסיפור התחיל אצלי עם כאבים בבטן תחתונה התעלמתי חצי שנה עבדתי פיזית קשה אכלתי המון פחממות חיטה למרות הכאבים הייתי בכושר מצויין אבל הכאבים החריפו קראתי באינטרנט שיכול להיות שזה הליקובקטר הלכתי לרופא לקבל את הטיפול אחרי יומים קיבלתי כאבי גהינום והקאות הלכתי בלילה למיון יצאתי משם עברתי גסטרוסקופיה מהפה קיבלתי עוד מנה של האנטיביוטיקה בדקתי כליה שמאל ct אולטראסאונד בטן כלום הכול תקין כרגע בדיאטת fodmap מנסה לחזור לכושר ולהעלות 7 קילו שנאבדו לי בחצי שנה הכאבים נמשכים בעוצמה פחותה אבל לא נעלמו כרגע מסתמך על המזל והסטטיסטיקה. יעדכן אם היה פיתרון בהצלחה לכולם -
כאב צידי בשמאל
סובל 28/12/2017 | 17:01רונית האם הטיפול עזר לך? ,נעלם? בבקשה לעדכן -
.....
.......... 28/12/2017 | 17:04רונית האם זה עבר\עזר לך? תעדכני -
עדכונים
סובל בן סובלים 31/12/2017 | 21:19האם יש פה אנשים שבעבר הגיבו פה בנושא ומשהו השתנה ? הכאב עבר ,החריף ? -
.....
עוד אחד 15/02/2018 | 15:05כאב חזה שמאל תחתון+ בטן עליונה שמאל\צלעות כאב כמו של לחץ מבפנים, במיוחד בישיבה,כל הבדיקות לא מראות שום דבר.ונעשו כל הבדיקות כולל סיטי חזה,אקו לב,גסטרוסקופיה,בדיקות דם כולל החידק הליקובקטר ורגישות לגלוטן.לא נמצא דבר.יש לציין שכמה חודשים לפני שזה קרה החל אטופיק דרמטיטיס . הכאב\לחץ קיים כל הזמן ,לא מעיר משינה אלא להפך נותן קצת שקט .ועם ההתעורות של הבוקר חוזר. כרוני ללא הפסקה! במיוחד שיושבים כסא והאזור מתקפל. לפעמיים מסאג' במקומות הכאובים גורם להיחלשות הכאב לזמן קצר מאד אך עדין תמיד שם ,מלווה בגזים מעט לעט האם ניתן להחלים מצרה זו ? -
גם אני ככה כמה חודשים
נתן 07/07/2018 | 07:52אני לא מאמין שאני רואה את התגובות של כולכם בדרך כלל לא מגיב. ! לא יודע עם להיות טיפה שמח או ממש עצוב ... אני כבר 5 חודשים עם כאב בטן בצד שמאל , כאב שבא לעיתים עם דקירות בבטן לפעמים קשה לאכול . לפעמים סחרחורת ואי נוחות בשירותים לא יוצא טוב ...מאיך שאני קם גם שאני ישן .. הייתי מאושפז כמה פעמים . בד דם תקין גסטרו תקין אקו תקין צילומי ct ניגודי ו ct e גם עשיתי צילומי בטן אולסטרד תקין ! ממתין לmri אגב רופאת משפחה מצאה אילוקבקטור פילורי שתיתי את הכדורים ולא הפסיק הכאב עד שחשבתי שמצאתי את כאבי הבטן ... קצת מיואש אשמח עם מישהו מצא פתרון לבעיה הצרה שבאה אלינו בן28 שבת שלום. ???,!! -
סימפטומים גומים כבר חודשים
חני 18/07/2018 | 16:00שלום לך, קראתי את דברייך ואני חווה כאבים דומים. באמת עברה עליי תקופה לחוצה ביותר בשנה האחאונה. אשמח לדעת אם הטיפול שקיבלת מצליח. תודה! -
כאבים ברום הבטן
קלרה 24/07/2018 | 15:26סובלת מכאבים ברום הבטן לפעמים מקרין לגב סותריי חומצה לא עוזרים סובלת מצריבה בעור למטה שום משחה לא עוזרת מהסבל והכאבים קבלתי חרדה ודכאון מה ניתן לעשות טראמאדקס עושה לי רע יש לי דיספפסיה פונקציונלית ולחץ מוגבר לושט העליונה ובעית תנועתיות עשיתי בדיקה לכך מה ניתן לעשות סובלת כבר 4 שנים מאבדת משקל העיכול לא תקין -
תשובת מומחה
כאבי בטן
פרופ' משה פפא 24/07/2018 | 23:34מציע לפנות לגסטרואנטרולוג -
שמי אלברט אני עוסק באירידיאולוגיה והומיאופאתיה
בית המרפא.0522615299 22/08/2018 | 14:57אני מאד ממליץ על בבלנדר להתחיל בדאיטת ירוקים בתוספת תפוחי עץ ירוקים עם בננות.והרבה סלרי.להפסיק לתקופה עם.כל הקימחיים לסוגיהם.סוכרים.חלבי ובשר.ושתיה מוגזת.אף גם סודה.לעבור לירקות חיים.מאודים מוקפצים.ובתנור.כל הסיכויים שתחלימו מכל כאב ומחלה.בדוק ומנוסה.מומחה במחלות בטן.אלברט אהרונוף. -
בדיקת נשיפה
חן 27/09/2018 | 14:17מה קשור בדיקת נשיפה(עושים לצורך בדיקת חיידק בקיבה). אגב גם לי זה התחיל ממש עכשיו הכאבים האלה בצד שמאל ממש במותן מתחת לצלעות ואין לי מושג מזה.. -
היי דנה
דנית 02/10/2018 | 20:10אני כשבוע סובלת מנפיחות בבטן. וכאבי בטן לכיוון צד שמואל. וכאבי גב -
היי
דויד 07/10/2018 | 08:49וזה עובר מתישהו? אני סובל מאוד וזה מרגיש גם כמו עצירות חזקה בבקשה אשמח לתשובה -
כאבים בצד שמאל מתחת לצלעות
זהבה 22/10/2018 | 13:34גם לי היו כאבים באיזור זה. כדאי לבדוק בעיה בטחול כי זה מה שגילו לי. לא להזניח ללכת לעשות כול בדיקה אפשרית עד שיגלו מה הסיבה לכאב. במיון רופאה רצתה לשחרר אותי ואמרה שריר תפוס. רק אחרי התעקשות שלי לסיטי גילו שיש בעיה בטחול אז לא לוותר עד שתהייה להם תשובה -
וואו, יש לי בדיוק אותו כאב כפי שתיארה הכותבת
ליאת 24/10/2018 | 08:20(בנוסף לכאבים חלשים שבאים והולכים באזור הבטן, ולא יודעת אם קשור, גם כאבים בשדיים שאת הסיבה להם אני יודעת - ציסטות). מישהי גילתה ממה זה? מה שכן, נמצא אצלי ממצא של אגן כליה מורחב ואני צריכה לעשות סיטי. אם מישהי תראה את ההודעה הזו איכשהו, אשמח לדעת אם גיליתן ממה נובע הכאב? -
אצלי אין עודף משקל.
ליאת 24/10/2018 | 08:30חייבים להקליד תוכן כדי לשלוח את ההודעה... -
שלום לך,
ליטל 13/11/2018 | 15:08תנסה להוריד גלוטן מהתזונה שלך או לקטוז, ההקלה מובטחת. תראה מה עושה לך טוב. -
עשו לך סיטי בטן או סיטי חזה?
שירה 14/11/2018 | 16:51הי עשו לך סיטי בטן או סיטי חזה? -
כבר שנה וחצי סובלת מזה, בבדיקות בכל תרין, פלטס גרפסים שיוצאים אחרי הקרנת הכאב ליזה...נמאס כבר
לאנה 16/11/2018 | 23:15אובדת עצות -
כאב צריבה בבטן עליונה צד שמאל
מאיר 02/12/2018 | 22:37יש לי כאב בטן בצד שמאל קרוב לצלעות בחלק העליון מין צריבה אין לי כיס מרה הורדתי ליפני 10 שנים מה זה -
כאבי בטן
ליזת 09/12/2018 | 11:31גם לי יש כאבים נוראיין בבטן תחתונה כבר גמה שנים ןלא יודעת מה לעשות גורם לי לסחרורת חולשה עייפות מה אפשרי לעשות בנגוד לכך -
כאבי בטן
ליזת 09/12/2018 | 11:33גם לי יש כאבים נוראיין בבטן תחתונה כבר גמה שנים ןלא יודעת מה לעשות גורם לי לסחרורת חולשה עייפות מה אפשרי לעשות בנגוד לכך -
כאבי בטן צד שמאל
א 15/12/2018 | 09:11האם מצאת את הבעיה? יש לי את הכאבים האלה כבר קרוב ל8 שנים!הכאבים מופיעים במיוחד בשעות הבוקר, מעירים אותי משינה ולרוב נעלמים אם אני לא חוזרת לשכב, מיואשת ולא יודעת מה לעשות עשיתי קולונסקופיה דופלר בטן וכל סוגי האולטרסאונד לסיטי סרבתי -
אי נוחות לחץ בקו בית החזה צד שמאל
אלי 22/12/2018 | 19:12אז אחרי שנתיים של כאבים בלתי פוסקים מאז ההודעה הראשונה שלי כאן ב19.10.2016 ישנו אור בקצה המנהרה,אחרי אין סוף בדיקות,וסוגי דיאטה וצום ותוספי תזונה וכדורים נגד דיכאון שידעו לתת לי ובכך להשתיק אותי. כלום כלום לא עזר! כי זה בכלל לא היה בכיוון. הגיע האדם שעזר לאבחן מה יש לי,זה היה קשה לפענוח ולפי הבנתי ישנם אנשים שסובלים מכאבים כרוניים בכל מיני מקומות בגוף במשך 20 שנה ויותר. אני מרגיש מחויבות לשתף ואולי לעזור. פרופסור אבי ליבנה. מתמחה ברפואה פנימית שישאיר אותכם עם פה עד הרצפה. ויגיד לכם מא' עד ת' מה יש לכם. שליח השם ללא ספק. -
כאב חזה שמאל תחתון+ בטן עליונה שמאל\צלעות
אלי 22/12/2018 | 19:18אז אחרי שנתיים של כאבים בלתי פוסקים מאז ההודעה הראשונה שלי כאן ב19.10.2016 ישנו אור בקצה המנהרה,אחרי אין סוף בדיקות,וסוגי דיאטה וצום ותוספי תזונה וכדורים נגד דיכאון שידעו לתת לי ובכך להשתיק אותי. כלום כלום לא עזר! כי זה בכלל לא היה בכיוון. הגיע האדם שעזר לאבחן מה יש לי,זה היה קשה לפענוח ולפי הבנתי ישנם אנשים שסובלים מכאבים כרוניים בכל מיני מקומות בגוף במשך 20 שנה ויותר. אני מרגיש מחויבות לשתף ואולי לעזור. פרופסור אבי ליבנה. מתמחה ברפואה פנימית שישאיר אותכם עם פה עד הרצפה. ויגיד לכם מא' עד ת' מה יש לכם. שליח השם ללא ספק. -
כאבים בצד שמאל
אהרון 23/12/2018 | 20:21אלי אז אולי תגיד בבקשה מה היה לך ואיך מטפלים בזה? אני עם הכאבים האלה כבר מעל שנה קרוב לשנתיים. מה דר' אמר לך שזה נגרם ממה בדיוק ? -
לאהרון
אלי 24/12/2018 | 01:49אהרון אני פחות מעדיף לספר מה יש לי. וממליץ לך בחום אחי לגשת לפרופסור אבי ליבנה,הבחור ברמה אחרת האמן לי,אני 3 שנים לא עבדתי ,לא למדתי , לא חייתי, הכאב ניהל אותי בכל רגע ורגע. בקרתי אצל המון רופאים לפני שהגעתי אליו הוא ביקש שאשלח לו את כל הבדיקות שעברתי \והיו הרבה כאלה כי הייתי עסוק רק בלמצוא מה זה,אחרי כמה ימים נפגשתי איתו לשיחה של שעתיים. שבו נאמר לי במה מדובר וכיצד ממשיכים הלאה.אני באתי סקפטי במחשבה שהוא בטח ישלח אותי כמו כולם לעוד כמה בדיקות וזה לא יגמר.ועוד לפני שפגשתי בו התנהל דיון בבית חולים שלא אציין שמו לגבי המצב שלי שבו לא הגיעו לכלום ושוב חזרתי למרפאת כאב. -
כאב פסיכוסומטי
Notibar 06/01/2019 | 23:44זה לא רק נכון, אלא שרוב התפיסה של הרפואה הסינית היא כזו של גוף ונפש כמקשה אחת, ומנסיוני האישי הכל קשור בנפש וברוחניות. קשה מאוד להאמין עד כמה סטרס ומתח נפשי, כולל מדברים טובים וחיוביים בחיים יכול להפיל את הגוף לחולי ולמשכב. איזון, זה שם המשחק, ולתזונה נכונה וטובה יש חלק לא מבוטל בכך. -
כאבי עצבים
Notibar 07/01/2019 | 00:02רוב מרפאות הכאב בארץ מלאות באנשים מיוסרים בכאב כרוני קשה מנשוא שלא מוצאים את מקורו ופתרונו,כולל אותי. יוגה שחיה ופילאטיס עזרו לי המון וכמובן שגם שינוי דרסטי בתזונה היטיב עימי מאוד מאוד. למחוק מהתפריט סוכרים, חומרים משמרים וצבעי מאכל,קמח לבן, מוצרי חלב, ואת כל המוצרים המעובדים ועתירי שומנים רוויים. וכן, גם הבשרים לא בדיוק מיטיבים עם גופנו מעבר לכמות מזערית הנחוצה לו להשלמות תזונה. בגדול, הגוף והדם אמורים להיות על PH בסיסי יותר מאשר החומצי, ובקיץ זה בא לידי ביטוי בפחות עקיצות יתושים. איזון גוף ונפש = שם המשחק. -
כאב מתחת לצלעות
כאב מציק (ארז) 15/01/2019 | 23:51יש לי את אותם התסמינים בדיוק אשמח לדעת אם עדיין יש מעקב אחרי זה -
גם אני
קוקילידה 19/01/2019 | 16:12סובל מהכאב הלא מוסבר הזה כבר שנים. לדעתי חלק מהמחלות ללא סיבה כמו מעי רגיז, פיברומיאלגיה וכו. צריך להתרגל ולהתעלם. כן יודע שקל להגיד. גם לי זה קשה, אבל זה מה יש. -
אותו הכאב במשך שנה וחצי
אביטל 13/02/2019 | 04:13נראה שהתגובות כאן מתחלקות לשני סוגי כאב עיקריים - באיזור החזה או בצלעות התחתונות. בעניין החזה נמצאו פתרונות הקשורים ללחץ/חרדה או לעניין גסטרו וושט. אבל בעניין הצלעות התחתונות אני לא רואה שמישהו כאב פתרון(חוץ מהצעה "אלוהית" לפנות לפרופ' אבי ליבנה, בלי שום הסבר ממשי לאופן הסיוע שלו). אני רואה שכמוני אנשים סובלים מהבעיה זמן רב מאוד, מבלי שהרפואה מוכנה להציע רעיון ממשי לנסיבות הבעיה, לאחר שכל הבדיקות יוצאות תקינות. האם ייתכן שמדובר בבעיה לא מוכרת שעוד לא נתנו לה שם פשוט (כמו פיברומיאלגיה, שזכתה רק לשם אך לא להסבר, הבנה, טיפול, או אכפתיות. וזה מהיכרות אישית)? אז מה עושים? כמות רבה של אנשים עם אותה בעיה שהרפואה לא מוצאת דרך להבין מה היא. האם תרצו ליצור פניה משותפת למרפא כלשהו? האם הרופא בפורום יכול לתת דעתו בנושא? תודה. -
כאב בצד שמול של בטן
אמלי 04/03/2019 | 13:20אמא שלי מיתלוננת בצד שמואל סורף לה בא והולך ולפעמים גם עולה לכתפיים עשתה בדיקה צילום סיטי כלום לא ראו והכאב קיים למי צריכה לפנות ... -
כאב בטן עליונה צד שמאל
אני 06/03/2019 | 21:01גם לי יש כאב צד שמואל בטן עליונה מתחת לצלעות . אני שמתי לב שאצלי זה תמיד קשור למחזור או ביוץ ..לא מבינה מה הקשר אבל זה מגמתי . -
כאב מתחת לצלעות מצד שמואל
ייה 24/03/2019 | 02:46כל מה שאת מתאר יש גם לי אני שוכב על הגב תוך מספר דקות הכאב נעלם הכאב מופיע בזמן ישיבה מעל שנה מלה בדיקות ופטרון אן -
כאבים בבטן שמאל עליונה
דפנה 11/05/2019 | 19:38הי אלי, האם פרופסור ליבנה מצא מה יש לך? והאם יש אמצעי טיפול ? -
אותו דבר, כאב בצד שמאל. מותן, מתחת לצלעות.
נורית 19/05/2019 | 17:08כאב מותן שמאל, נקודתי, כואב לאורך כל היום. במיוחד בישיבה שכיבה קשה לתפקד עם הכאב. מתחת לצלעות. אילו איברים קיימים באיזור זה? בקבוק חם יכול לסייע ולהקל? האם יכול להיות מתיחת שריר או פגיעה באיבר פנימי ? -
כאבים במותן ימין כבר כמה חודשים ועכשיו זה עבר למותן שמאל
מאיר 17/07/2019 | 16:14יש לי מזה כמה חודשים כאבים במותן ימין ועכשיו זה עבר למותן שמאל כאב כזה מציק אשמח לעזרה עשיתי אולטרא סאונד בטן תחתונה שם נמסר לי שהכל תקין תודה מראש -
כאבים במותן ימין כבר כמה חודשים ועכשיו זה עבר למותן שמאל
מאיר 17/07/2019 | 16:15יש לי מזה כמה חודשים כאבים במותן ימין ועכשיו זה עבר למותן שמאל כאב כזה מציק אשמח לעזרה עשיתי אולטרא סאונד בטן תחתונה שם נמסר לי שהכל תקין תודה מראש -
כאבי בטן בכל חלל הבטן ובצד שמאל בעיקר
שיר 25/01/2020 | 22:38מזה מספר חודשים אני סובלת מכאבי בטן חזקים בצד שמאל וכאב מפי הטבעת. עברתי מלא בדיקות מו: גסרו קולונסקופיה שיצאה תקינה× ביופסיה, מלא צילומי ct, בדיקת שיקוף לבקע בסרעפת, ועוד מלא בדיקות שהכל יצא תקין. הכרבים מאוד מאוד חזקים כל צד שמאל כואב הכאב מוקרן ליד לגב לרגל וכשאני אוכלת ודותה הכאב מתגבר. אני גם יורגת במשקל הייתי אצל רופא גסטרו שהפנה אותי למרפאת תנועתיות מה עושים -
כאבי בטן
שירלי 26/01/2020 | 15:57מה קורה אם הרופא משפחה לא נותן לי כל מענה?! מבחינתו כל הבדיקות שעשיתי יצאו תקינות. אבל אני סובלת מכאבים ממש חזקים -
אנשים פה סובלים תנסה לעזור להם אחי
בןעשרייםושתיים 13/04/2020 | 13:39וואלה דם לי יש את. כאבים האלו התחילו לפני חודשיים ואני מפחד להגיע למצבים שאנשים פה מספרים, תספר לאנשים מה היה לך שאולי תוכל לעזור לנו אחי, גם אם אתה פחות מעדיף אתה יודע אתה לא גלוי ואנשים פה חיים בסימן שאלה אחד גדול.. -
תבדקי אפשרות שזה אנדומטריוזיס
קרן 29/05/2020 | 17:21. -
התקפות של כאבי בטן, יציאות דמיות, שלשולים, פצעים בפי הטבעת, נפיחות, בחילות, חולשה ועיייפות
תום 02/06/2020 | 20:31היי, אובחנתי בצליאק ורגישות ללקטוז לפני 12 שנה, למרות הניסיונות לשמור על דיאטות נטולות גלוטן ואוכל קל עיכול, יש לי התקפות של כאבי בטן כל הזמן, תקופות של שלשולים שלא נגמרים, יש לי פצע בפי הטבעת שלא עובר כבר שנה וחצי למרות הרבה משחות שניסיתי, חולשה ועייפות, וכאב חד ומפלח בזמן שאני אוכלת ובעיקר שותה על בטן ריקה (כמו בבוקר). אשמח לשמוע עיצות מעשיות. -
כאב בצד שמאל מתחת לצלעות שמקרין גם לגב באותו צד, צד שמאל.
אריה 04/06/2020 | 22:58במיון עשו לי את כל הבדיקות והיו בסדר. העלו את האפשרות של שלבקת חוגרת. מציע לכולם להיכנס ולבדוק כי אלה הם בדיוק הסימפטומים. -
דקירות וכאב צד שמאל וימין
יוני 16/06/2020 | 19:15אני סובל מבעיית טחורים צריך לבדוק אם זה קשור אחד לשני כמובן גם ענייין הנפשי משפיע! -
בן22
פרופסורליסנהכלאק 07/08/2020 | 11:35חח הרגת אותי הצעת אלוהית לפנות לפרופסור ליבנה. איזה בן אדם תאמיני לי, שלוש שנים מעדכן פה, עלה על הבעיה, ולא יכול לזרוק עצם. איזה זלזול. לגבי החיבור גוף נפש שכולם אמרו פה - אני ללא ספק מסכים כי כשנכנסתי וחקרתי על זה עוד פשוט הכל החמיר בטירוף, זה מרגיש כאילו גזים אולי תקועים במעי הגז ולוחצים על הצלעות, במישוש הבטן השמאלית כליונה לפעמים אני שומע איזה רעש כאילו עזרתי לגזים לעבור. זה מעין תנועתיות איטית של המעי לדעתי האישית, השרירים של המעי מתכווצים יתר על המידה וגורמים למה שהיום קוראים מעי רגיז כנראה. זה עניין של לחץ, בכללי שרירים בגוף זה לחץ. מצב נפשי, גורם לך להיות מכווץ, משפיע על שרירים ומכווץ אותם שגורמים לתגובות שונות בגוף. אח על החיים שלי, אנשים פה בני 40 50 60, לפחות חייתם. לא שאני מזלזל בעזרת השם שכולכם תחיו עד 120 בלי שום כאב. אבל אני בן 22 וסובל את החרט הזה ולא יודע מה לעשות, כאבים בצלעות, כלוב צלעות שמאלי, בטן שמאל עליונה לוחצת. לפעמים הכאבים במותן שמאל, מקרינים לגב. חשבתי גם תסמונת טיטצה אבל גם לזה אין סיבה ושאני מנסה להגיע לשורש הבעיה ההרגשה היא שבמעי לוחץ על הצלעות ואולי גורם לדלקתיות הזו של תסמונת טיטצה. השאלה אם מנחתחילה הצלעות כאובות בגלל תסמונת טיטצה ובגלל זה מרגיש ככה שהבטן לוחצת, או שהבטן לוחצת וזה מה שגורם לכאבי הצלעות / תסמונת טיטצה. אלי יא זין תענה לנו חח מה עשית אחינו ספר לנו מה פרופסור ליבנה אמר לך יא בן אדם -
לגבי אלי הבחור עם פרופסור ליבנה
פרופסורליבנהעלאק 07/08/2020 | 12:06היי אחרי שחיפשתי על הרופא הזה הבנתי שהוא מתמחה בראומטולוגיה ובמיוחד במחלה שנקראת קדחת ים תיכונית FMF. לא יודע אם זה מה שאלי הבחור שלנו שהפנה לפרופסור הזה קיבל באבחנה. אבל קראתי שהמחלה הזו אופיינית כקשה לאבחון, גורמת לדלקתיות בקרומי הבטן החזה וכו ובאה בהתקפים של 24-72 שעות. אופיינית יותר להתפתח בילדות ו90% מהמקרים קורים עד גיל 20. לט יודע אם זה מה שהוא קיבל או לא, הרגשתי מחויבות לשתף כי קראתי את זה מהבדיקה שלי על מה הפרופסור הזה מתמחה. מעניין. אני אבדוק עם ריאומטולוג אבל אני לא חושב שזה המצב אצלי כל כך ובכללי כל המחלות הקשות האלה והדברים האלה מבלבלים מאוד. אלי תענה לנו יא זין חח -
כאב בטן שמואל תחתון
זכר 11/08/2020 | 22:49אתמול חשתי כאבי צד בבטן תחתונה בצד של הצלעות השמאליים. והיום חש כאבי גב תחתון. מה יכול להיות?? שווה ללכת לרופא משפחה או שזה יחלוף לבד. -
לא פרופסור
אמירוס 14/10/2020 | 02:50אחרי תקופה בא אני עובר בערך את אותו הדבר שכולם פה עוברים אני חייב להמליץ בחום על משהו שממש ממש עזר לי וזה שום. אני יודע שזה נשמע מצחיק אבל אכילה של שן שום בארוחה הורידה לי את הנפיחות והתחושות כאב בבטן העליונה. חשוב לא לכתוש את השום אלה לחתוך לחמישה שישה חתיכות ולאכול חיי לחלוטין ( אני יודע זה מגעיל אבל תנסו ליומיים שלושה ואתם תרגישו הבדל משמעותי) מקווה שזה יעזור למישהו פה -
כאבים דקירות בצד שמאל מתחת לצלעות
נינה 18/10/2020 | 17:49מספר ימים כאבים כדקירות חזקות בצד שמאל מתחת לצלעות -
כאבים מתחת לצלעות בצד שמאל
טארי 23/10/2020 | 09:38שלום רב ,אני עברתי גסרו וקלונסקופיה , והכל יצא תקין ,עדין מרגישה לחצים באזור שמאלמתחת לצלעות ,במיוחד בשינה מה עלי לעשות ,כל הבדיקות יצאו תקינות,אבל עדין כואב -
איתכם בכאב
אביגיל 30/10/2020 | 04:54שלום לכולם גם אני כמוכם סובלת מכאבים ברום הבטן השמאלית , אין לי פתרונות אבל אחרי שקראתי את כל התגובות אני רגועה שאני לא לבד בכאב הזה ויש עוד הרבה כמוני ויש בזה משהו מרגיע , אני שואלת את הפרופסור למה כל-כך הרבה אנשים (ואני בטוחה שיש עוד רבים כמונו) סובלים מאותה בעייה אחרי שכל הבדיקות שעברו יצאו תקינות האולטראסאונס, סי טי, גאסטרו ואין מענה ראוי לאף אחד מאיתנו? -
כאב
דנה 02/11/2020 | 08:46היי,האם מצאת פתרון?? -
בקשת עזרה
דני 15/11/2020 | 18:53היי . אני סובל מאותם תסמינים בדיוק . עשיתי סי טי בטן והכל תקין . אבל עדיין הכאבים עזים הכי הרבה להתכופף לישיבה ולקום מכסא לעמידה . לא יודע מה לעשות -
כאבים
שמחה 21/11/2020 | 20:28כאבים מעל הישבן בצד שמאל -
שלום
אופק 07/12/2020 | 21:43אני לא רופאה אבל זה נשמע שיש לך בעיות מהבקע מה היה בסוף??? -
כאב בצד שמאל מתחת לצלעות
חנה 09/12/2020 | 02:01גם אני סובלת מכאב מתחת לצלעות צד שמאל,כבר שנתיים.הכאב מופיע בעיקר בשינה.הכאב לא מצריך תרופה זה לא כאב חזק ,אבל הוא כאב נקודתי ונסבל -
ואוו
יוסי 14/12/2020 | 19:13אני לא לבד! 5 שנים של כאבים בדיוק מהסוג שגורם לך לגמגם מול הרופא, הדבר היחיד שקצת גורם לי להרגיש נוח זה לשים את היד או לקשור משהו שיגע ויכניס את נקודת האי נוחות פנימה. חסר אונים לחלוטין. פשוט זה הורס לי את החיים. רופא המשפחה אומר לי - תסבול. הלכתי לכמה בדיקות כולל מיון וכלום. איך מקבלים את החיים בחזרה? -
כאב בצד שמאל מתחת לצלעות
מירי 21/12/2020 | 00:17לפחוט קצת מרגיע שאני לא לבד בכאבים האלה .. בריאות לכולם תעדקנו עם מישהו מצא פיתרון -
כאב בצד שמאל ) משמאל לטבור(
מזיאלה 12/01/2021 | 21:33גם אצלי הכאב הזה הוא הרבה זמן. כאב נקודתי, לא מאוד חזק, לעתים כמו כוויה פנימית, לעתים עמום. מישהו חזר אליך? מישהו יודע מה זה יכול להיות??? -
אחד לאחד
עומר 25/01/2021 | 16:04לגמריי איתך, תיאור מדוייק אני וזוגתי חווים גם -
כאבים בין צלעות מקרין לגב משמאל
שרי 29/01/2021 | 12:16כולם מתלוננים ואני לא מוצאת התייחסות או תגובה מהרופא...מוזר... -
כאב ברום הבטן צד שמאל לקיבה
תמר 30/01/2021 | 12:02ברפואה העממית מדובר על כאב בספלינה. ספלין זה טחול. שם ממוקם הטחול. שימו לב אם הכאב מופיע כאשר הקיבה מלאה וזה לוחץ על הטחול. וכאשר הכאב מופיע שוב כעבור כחמש שעות בערך כאשר המזון עובר בחלקו של המעי הגס העובר בסמוך לטחול. מומלץ לאכול ארוחות קטנות . טחול יכול להיפגע במהלך השנים מכל מיני סיבות מיכאניות וזיהומים. אין פתרון קסם. הטחול מבצע עבודה גם בהיותו פגוע.כמובן חשוב לבצע בירור מקיף בגסטרו. אם אין מימצא אחר אז לסמוך על הרפואה העממית שקוראת לזה כאבים בספלינה. תשלבו במזון קישורים ודלורית. -
כאבים
עינת 20/02/2021 | 22:55שלום. אני בת 51 לפני שנתיים עברתי צינתור לב. כבר חצי שנה יש לי כאבים חדים בצד שמאל מתחת לשד, אני סובלת מכאבים קבןע ביד ימין מהכתף לאורך כל היד. יש לי כאבים בחזה במאמץ בעלייהת מדרגות בעקבות זאת זאת הלכתי לצינתור נוסף לפני 5 חדשים ונמצא שהכל תקין ולא עשיתי את הצינתור. הכאבים ממשיכים כפי שתארתי. מה הבעיה עוד יכולה להיות? הפסקתי עישון לפני שנתיים לאחר שעישנתי 30 שנה. -
כאבים בצד שמאל רום הבטן עם נפילות בבטן
יכלת 26/02/2021 | 16:03קמתי הבוקר פעם ראשונה עם כאב בצד שמאל ברוך הבטן ונפיתות של חודש 4 הריון אני בת 56 ממש מוזר לי אשמח לדעת מה זה יכול להיות. -
כאבים בצד שמואל באזור הצלעות חימום המקום מקל על הכאב. וקור מגביר אותו.
מלי 19/03/2021 | 00:23האם עוד משהו מרגיש שחום מקל משחרר וקור מגביר את הכאבים. כשהמזגן דולק על קור זה ישר מתגבר.מוכר למשהו? -
תודה על התגובה שלך.
ריקי 21/04/2021 | 18:15אחרי כמה ימים שממש סובלת מזה, ראיתי את התגובה שלך. יש לי בבית כמוסות שום אז נטלתי אחת. חלפו מספר דקות והתחלתי לחוש הקלה בכאב. זוכרת שכבר שמעתי על זה בעבר וסבלתי מכאבי בטן בעקבות חומציות יתר ושום עזר לי פלאים. תודה על תגובתך ושהזכרת לי ליטול שום. -
כאבים ברום הבטן
דולפין פצוע 25/04/2021 | 12:31אני כמוכם סובל מיזה 5 חודשים כאבי מרום הבטן במיוחד צד שמאל אחרי ישיבה ארוכה, איבוד משקל. כמוכם עשיתי את כל הבדיקות גסטרו , אנדוסקופיה , אולטרה סאונד ,בדיקת נשיפה , בדיקות דם. מה עוד נשאר לעשות ???? -
כאבים בבטן העליונה
רותה 28/04/2021 | 18:09יש לי כאבים שמתחילים באמצע מעל הצלעות ומקרין בדרך כלל ל מתחת לחזה בצד שמאל וגם שורף לפעמים וגם לבית השחי לפני שבוע וחצי עברתי הוצאת אבן מדרכי כיס מרה וממתינה לניתוח ממה אתה חושב שזה נובע נוטלת אנטביוטיקה מזה שבועיים ומחר מביימת -
השם של הבעיה לפי תיאור הכאב herpes zoster ואין לזה תרופה שעובר אחרי תקופה שנגרם מנתחים
המלצה להירגע ממתח ותזונה בריאה https://emedicine.medscape.com/article/1132465-overview#a1 01/05/2021 | 01:51הפעלה מחדש של נגיף אבעבועות רוח () שנשארה רדומה בתוך גרעיני שורש הגב, לעיתים קרובות במשך עשרות שנים לאחר החשיפה הראשונית של המטופל לנגיף בצורה של אבעבועות רוח, גורמת להרפס זוסטר -
יש לי כאבים דומחם
אלעד 06/06/2021 | 11:58האם זה נפתר לך? האם מצאו את הבעיה? -
סובל מאותה הבעיה
בר 20/06/2021 | 19:55האם למישהו הצליחו לאבחן מה יש לו? -
פוליפ....כאב.
כבד 22/06/2021 | 15:49האם פוליפ בכבד יכול לגרום לכאב בלתי נסבל??? -
כאבים מאחורי הצלע השמאלית
אלה 27/06/2021 | 00:50גם לי יש את זה זה עוזר לדפוק על הגב בצד שמאל -
עבר לך במקרה
Acxx77 05/07/2021 | 13:18זה עבר לך במקרה? אם כן איך התמודדת עם זה? -
אנא עדכני
עינת 06/07/2021 | 16:39עלו על הבעיה? -
אלי
לולו 13/07/2021 | 20:35אלי למה אתה לא אומר מה פרופסיר ליבנה אמר לך ?? חבל תהייה קצת לאר'ג -
כאב
לולו 13/07/2021 | 20:37אילי תגיד לא מבינה למה את לא רוצה לעזור זה מצווה -
כאבים בבטן שמאל
לא לכאב 20/08/2021 | 21:08תנסו לעשות לעצמכם מסג איפה שכואב בבטן אבל לעסות את הגב עם ציפורניים ועם האצבעות לא קל אבל להמשיך זה יקל -
כאבים מתחת לכלוב הצלעות בצד שמאל
התכווצות מתחת לצלעות 02/09/2021 | 12:30גם אני עם אותו הכאב. התחיל לפני 3 שנים ולאחר בדיקות מקיפות שלא מצאו דבר החלטתי לבדוק את האוכל ומצאתי שלחם מלא הוא שגרם לכאב. הפסקתי לאכול קמח מלא והכאב חלף. מישהו מזדהה? -
כאבי בטן שמאל עליון מתחת לצלעות
צוקי 14/09/2021 | 12:03לדעתי ולרוב בעיות כאבים מעיד על זיהום בגוף..בהתאם למיקום.. והפיתרון בעיקר ביו כורכומין...ועוזר תמיד רצוי כורכומין בספיגה ממושכת...לא כורכומין הרגיל...בהצלחה -
כאב בטן שמאל למטה
ury dym 11/11/2021 | 13:52אני אשה ויש בליטה מצד שמאל מתחת לצלעות -
כאבים מתחת לחזה שמאלי
כאבים 11/11/2021 | 15:32המלצה על אוכל שמרגיע ת המקום -
כאבים
מיה 14/11/2021 | 14:50יש לי דקירות בצד שמאל בטן תחתונה ומקרין לרגל ולצד ימין בטן תחתונה מה לעשות? -
הריון בשבוע 18
לני 26/11/2021 | 13:26כאביים חזקיים בצד שמאל בצלעות -
כאבים
תעזרו בבקשה 02/01/2022 | 10:55מישהו כאן יש לו כאבים חזקים דקירות בצד שמאל בבטן כל הצד השמאלי קשה לי ללכת קשה לי לצחוק קשה לי לנשום קשה לי לעבור למצב שכיבה וקשה לי לקום מישיבה ולשבת מישהו יודע מזה כבר שבועיים רני סובלת מזה ממה זה נובע???? מה הטיפוללללל???? -
אותם כאבים כבר שנה וחצי
בבקשה התיחסותכם 21/01/2022 | 22:42הייתי רוצה לקרוא את התגובות בשביל לחפש כיוון. אף רופא לא מבין את הכאב וכל הבדיקות תקינות, דם, אולטרסאונד כליות, צילום עמוד שידרה. הכאב נע בין הגב מתחת לצלעות ולפעמים מרגישה אותו בצד מקדימה לתוך הבטן. שיבש לי את איכות החיים רק החיפוש אחר ההבחנה לצד חיי הכאב. אשמח לשמוע גם איך נפתרה הבעיה שלך -
כאבים בבטן בצד שמאל
שני 23/01/2022 | 07:24אני חווה את אותה הבעיה כבר שבוע כשאני נושמת כואב לי בבטן בצד שמאל כואב לי ללכת לשכב על הגב או על הצד או בטן, רק משככי כאבים חזקים מאוד בקושי אפילו עוזרים הביאו לי אנטיביוטיקה מקווה שזה יעזור אני ביום הראשון שלהם . מישהו יודע ממה זה נובע או איך ניתן לטפל ? -
איפה הרופא המתנדב פליזזז
רונן 07/02/2022 | 23:38מזה? זה אתר ללא רופא? שלא יהיה רופא, שיהיה מישהו שחווה את הדבר הנורא הזה וצלח את זה. וייתן חוות דעת מקורית למקור הבעיה. אני שלושה ימים שכבתי כמו מת על צד ימין במצב של עייפות אם אתה לא תופס תנוחה נכונה על צד ימין אתה יכול רק לישון בישיבה אין מוצא אחר הכאבים בשכיבה על הגב כאילו צובטים לך את האיברים הפנימיים וגם לנשום ולשנות תנוחה אתה לא יכול. אם נרדמת על צד ימין זה נס. לקחתי ביום הראשון 40טיפות אופטלגין ביום השני ארקוקסיה ואתופן ביום השלישי שמתי מדבקות טייגר + שמנים ומשחות נוגדי כאבים + שפורפרת מים חמים על הכתף השמאלית. נדיר התחיל לעבור. -
כאבים בצד שמאל
מנחם 11/02/2022 | 07:38תשובה כנראה חוסר בחמצן -
גם כואב לי
Superfir 14/02/2022 | 10:57לפני כחודש התחיל לי פעימות לב מהירות אחרי כמה ימים עבר אבל לאחר כמה זמן התחילו לי מין הרגשה של זימזומים באזור החזה לאחר מכן התחיל לי כאבים מוזרים אך לרב לא חזקים באזור השמאלי שמתחת לבית החזה ולפעמים קורה גם שאני נושם. קורה לרב בזמן מנוחה ושאני הולך לישון אפילו הרגשה של דפיקות לב מהאזור ולפעמים קצת הרגשה של שריפה משם. לא הצלחתי למצוא מידע האינטרנט והבדיקות דם יצאו תקינות וגם אקג בבקשה שמישהו יעזור -
גם אצלי ככה
גילי 18/02/2022 | 07:11גם אני סובל מכאבים דומים וכל הבדיקות תקינות -
כאבים בצד שמול בצלעות
חדאד 23/02/2022 | 17:48גם אני סובל מכאבים עזים בצד שמואל רק בזמן הלכה או בכול פעילות גופנית. בזמן מנוחה זה עובר. -
כאבים של מעל שנתיים בבטן שמאלית בתוך צלעות התחתונות
stav_ shlez 24/02/2022 | 15:36היי ח'ברה אני בן 28 עם כאבים 24/7 בצד שמאל בבטן הכאב נמצא תמיד הוא לא הולך לרגע, והוא חזק מאוד. עשיתי את כל הבירורים האפשריים - אולטראסאונד, סיטי בטן, מריי פרטי,גסטרוסקפייה , קולנסקפייה , בדיקות דם , סיטי עצמות , הייתי אצל מלא רופאים פרטיים ואף אחד לאמבין מה הבעיה זה מסתכל מאוד ומעבר לכך כל שיטות הטיפול שניסיתי לא עוזרות. שכוללות גם רפואה מערבית וגם מזרח. בגלל שהכאבים הם 24/7 ובעוצמה חזקה זה כבר הפך אותי לבן אדם אחר. תמיד יש תקווה שהפתרון יגיע מאיזה שהוא מקום, כי נראה שהזמן לא עושה את שלו. כיף לדעת שאנלא לבד בצר ה הזאת והוולאי וימצאו שם ופתרון לתופעה הארורהה זאת סתיו שלזינגר ❤ Stav-shlez -
מצאת פיתרון
כאבים 09/06/2022 | 17:51יש לי את אותו הדבר בדיוק תגיד יצא לך לבדוק מאז -
גם אני סובל חודש וחצע
אשר 29/06/2022 | 23:59חודש וחצי כאב בצד שמאל וימין עשתי את כל הבדקות הכל יצא תקין אני על כדורים לכאבים מה מחפש תושבה לכאב -
אחי
אנונמ 09/07/2022 | 23:37לא בא להלחיץ אבל יכול להיות סרטן -
כאבים בצד שמאל בבטן
אפ 04/08/2022 | 21:45כאב בצד שמאל ברגע נטילת אוכל -
כאב בצד שמאל בטן עליונה
אסתריקה 21/08/2022 | 15:14היי מזה 3 ימים כאב נקודתי בצד שמאל בטן עליונה מה יכול להיות? -
אתה חתיכת אפס מאופס - ואדם רע
מישהו 26/09/2022 | 19:28אנשים סובלים פיזית ומשתגעים כי לא מוצאים . אפס -
כאבי בטן עליונה
לי 29/09/2022 | 07:43אינני רופאה אך מתוך נסיוני האישי שיכטל חהיות שונה מכל אחד.. היו לי כאבים מטורפים מתחת לצלעות וכיוון הגב רופא המליץ לי להפסיק עם גלוטן ומרוב יאוש ניסיתי ואחרי 15 יום הרגשתי חדשה.. בשבילי גלוטן היה כבד מדי לקיבה .. הוא אמר שיש אנשים שרגישים לחלב והגוף משדר בדרכו להשים לב מה תקין.. סתם המלצה שבעיני שווה עם הכאבים באמת מטורפים -
אותו בעיה מה עושים
תומר 20/10/2022 | 01:12מה עשית מצאת פתרון -
סובל מאותה בעיה כבר שנתיים פלוס
תומר ברדה 20/10/2022 | 23:46מצאת פתרון מישהו מצא פתרון ניסיתי הכל -
גם אני כמוך
תומר ברדה 20/10/2022 | 23:50גבר תגיד לי בבקשה מצאת את הפתרון לבעיה -
גם אני סובל מאותו בעיה
תומר ברדה 20/10/2022 | 23:53יש פתרון תגיד לי שכן -
סובל מאותו בעיה
תומר ברדה 20/10/2022 | 23:58אין לי כוח יותר אח תגיד לי שמצאת פתרון -
כאב ברום הבטן העליון ימין ושמאל כולל סימפטומים חדשים
רוצה רק להיות בריא כמו פעם 22/10/2022 | 13:45אני זוכר את עצמי מאז ומתמיד בן אדם בריא שאוכל בין מסובך לעיכול או קליל מעולם לא היה בעיה עבורי לא בשעות המאוחרות של הלילה ולא באף סיטואציה. סחבתי תסמינים של גזים ובטן נפוחה הרבה זמן שלאחר מכן שמתי לך שהצואה בצבע בהיר ולרוב צפה. החלטתי באופן עצמאי לשנות קצת תזונה ולתת זמן לגוף להחלים. כאשר ראיתי שהעניין ממשיך כמו משהו של חצי שנה. החלטתי לפנות לרופא משפחה שהוא לקח דגימות דם. ובדיקת צואה פלוס דם סמוי ופרזיטים למינהם. שני הבדיקות יצאו תקינות ואני נכנסתי לסוג של אופוריה ואמרתי יאללה שיהיה.אחרי שעבר מהביקור עוד משהו כ6 חודשים לפתע התחלתי להרגיש כאבים ממש חזקים ברום הבטן בצד שמאל כל כך חזקים שנאלצתי להתפנות למיון כן כן עד כדי כך... הייתי סופר מודאג וחשבתי שזהו נכנסתי לסטיסטיקה... עברתי במיון אחרי המתנה מאוד ארוכה תשאול ובדיקות דם. הרופאה אמרה שלפי התיאור ובדיקות הדם שיצאו תקינות( מדדי דלקת תקינים, וספירות דם תקינות ) כנראה מדובר ביתר חומציות ואני צריך ליטול כדורים למשך 14 יום וזה אמור לסדר את הבעיה. אמרתי לה יתר חומציות או כיב כיבה? היא אמרה גם כיב זה אופציה. אז הבנתי שהיא עושה עליי ניסיון. היא אמרה במידה ובמהלך ה14 ימים יהיה הטבה אתה בדרך הנכונה במידה ולא אז תמשיך לבדוק והמליצה לקבוע תור לקסטרוסקופיה דרך הקהילה וכך נעשה. סיימתי את ה14 יום של מנטרל החומציות קיבה כמובן שלא עזר בשיט. ותקף אותי שוב אותו כאב ארור. ועל מזלי הגרוע נפל בחג שקופת החולים בוקשי עובדות התקשרתי למוקד אחיות הפנתה אותי במצב חירון לרופא בקופה שנתנה מענה. הגעתי אליו והוא אמר מה שאתה מתאר זה אליקו בקטור פילורי .. אני אקצר לכם... עשיתי תבדיקה יצא שלילי. אבל זה לא הסוף... היותי מחכה לתור של הגסטרו כבעוד חודש התחיל לי הכאבים בצלעות מתחת צד דמאל. ואיבוד משקל חריף כ10 קילו בחודש כאן כבר כל הנורות האדומות נדלקו לי. אני באמצע תהליך גדול ומתמודד מול רופאים שלא בדיוק עוזרים אתה מוצא את עצמך יותר מבלה בנייד במציאת פתרונות בין לכתוב את זה באנגלית לראות למי יש פתרון או כמו שהגעתי לפורום הזה. מה שכן אני מציע לכם זה לעולם! לא להזניח כאב. כאב בין כרוני או חד פעמי מעיד על משהו לא תקין. אל תעשו טעות שתעלה לכם בחיים הרופאים הם נותנים שירות להמון אנשים ככה שהמקצועיות שלהם יורדת ככל שיש ריביו חולים והחדות באבחנה. בסוף של דבר אני כרגע עם כאבים בבטן עליונה כאב בצלעות מתחת לצד שמאל שאני נושם מרגישים את זה כאילו משהו לוחץ שם במיוחד עם אתה מרים את היד השמאלית גובה מעל הראש ונושם אתה מרגיש יותר לחץ. גזים שלא פוסקים ורעשי בטן גם. אני יעדכן שיהיה התחדשות במידה ויש מישהו שנמצא במצב שלי יעזור לי ותגיבו אני במצב מאוד מודאג מבחינה בריאותית הא וכן אני רק בן 35 כיף..... -
גם אני סובל בדיוק מאותו בעיה
תומר ברדה 23/10/2022 | 01:12מצאת איזה פתרון אני סובלכבר שנתיים וחצי -
כאבים בצד שמאל
עידו מדינה 28/10/2022 | 06:19מה עושים גם אני סובל בעיה זאת כאבים בצד שמאל מתחת צלעות איל מטפלים -
כאבים
לי 31/10/2022 | 09:44אולי לגשת לבדיקת אירידיאלוגיה שזה דרך גלגל העין .רואים כל מערכות הגוף ומוציאים מה שרופאים לא מצליחים ובדיקות הכי מתקדמות ,נטורפת שעושה את הבדיקה נותן תפריט דיאטה ,שמעתי שהצילו המון אנשים כך -
כאבים בתחת לחזה השמאלע
אודיה 07/11/2022 | 21:20היי אני בהריון חודש שישי ומרגישה כבר כמה חודשים דקירות וכאבים בלתי נסבלים מתחת לחזה בין הצלעות לבטן בצד שמאל. הלכתי לכמה רופאים עשו לי בדיקות יצא תקין וישר אמרו שזה ההריון והעובר לוחץ אבל איך זה קשור אם זה כאבים של דקירות נוראיות 24/7 כי הרי אני מרגישה את העובר והוא כל הזמן זז ואין מצב שכל ה6 חודשים הוא על אןתו מקום…. הכאבים נוראים כמה הרגשה של קרע שריפה ודקירות והכי מתסכל שאף אחד לא מבין מה זה כי הרי הכי קל להאשים את ההריון…. פליז שמישהו יודע מה אפשר לעשות -
כרוגיה כללית
שושנה 14/11/2022 | 09:39תבקש לעשות סיטי -
רעשים בבטן עליונה ללא כאבים
אסתר 19/11/2022 | 18:57רעשים בבטן עליונה מצד שמול ללא כאבים -
כאבים מתחת לצלעות
שמואל 22/02/2023 | 15:30מזה מספר שבועות שאני סובל מכאבים חדים לסירוגין מתחת לצלעות צד שמאל , משמאל לבטן עליונה. הבחנתי שזה קורה יותר אחרי ארוחות מלאות או בכלל. ממה זה נובע ומה עליי לעשות. תודה -
כאבים בצד שמאל של הבטן העליונה
טל 05/04/2023 | 22:00מופיע אצלי לעיטים כאבים באזור בטן עליונה צד שמאל אחרי יציאה משתחרר הכאב ..האם זה קשור אחד בשני? -
מיני מעקף
אוראל 21/04/2023 | 06:33יאוו זה בדיוק מה שיש לי מימה שה נובע ? האם מסוכן לא לטפל ? -
בטן שמאל
יויו 23/04/2023 | 13:59באמצע הלילה אני מתעורר מכאבים בחזה שמאל אשר נובעים מבטן שמאל עליונה מתחת למלכות.יצויין שאני נוטל כדור שנקרא ליטורבה/ליפיטור 40מג אף שאין לי כולסטרול.
-