פרופ' רחל גרוסמןגידולי היפופיזה (בלוטת יותרת המוח): האם תמיד צריך לטפל?
כ-12-15% מכלל גידולי המוח יתפתחו בבלוטת יותרת המוח, או ההיפופיזה. למרות שפעמים רבות גידולים אלה אינם מובילים להתפתחות של תסמינים שונים ולכן אינם מחייבים טיפול, במצבים בהם הגידול גורם לפגיעה במאזן ההורמונלי או שגדילתו מובילה ללחץ המופעל על איברים סמוכים יידרש ניתוח להסרתו. פרופ' רחל גרוסמן, סגנית מנהלת המחלקה הנוירוכירורגית בבית החולים איכילוב עם המידע החיוני על האבחון והטיפול
בלוטת יותרת המוח (ההיפופיזה) ממוקמת באוכף התורכי (שקע בבסיס הגולגולת עליו מונח המוח), ונמצאת בסמיכות לאזור ההצטלבות של עצבי הראייה (הכיאזמה). הבלוטה מפרישה הורמונים אשר מעורבים בוויסות של תהליכים רבים בגוף בהם שמירה על משקל תקין, איזון המלחים, שמירה על לחץ דם וערכי סוכר תקינים ואף גדילה ופוריות.
גידולים בבלוטת יותרת המוח שכיחים יחסית ומהווים כ-12-15% מכלל הגידולים המתפתחים במוח. ברוב המוחלט של המקרים גידולים אלה יהיו שפירים ולכן פעמים רבות לא יהיה צורך בטיפול אלא במעקב בלבד. עם זאת, במקרים בהם הגידול גורם לבעיות משניות או שמפעיל לחץ על איברים סמוכים וכן גם אם מדובר בגידול ממאיר יהיה צורך בטיפול. על סוגי הגידולים בבלוטת יותרת המוח, הסימנים שיכולים להתפתח ולעורר חשד והטיפולים בכתבה שלפניכם.
גידולי ההיפופיזה נחלקים לשני סוגים מרכזיים:
- גידולים מפרישי הורמונים
גידולים מפרישי הורמונים של בלוטת יותרת המוח נחלקים גם הם למספר סוגים בהתאם להורמון המופרש. מבין ההורמונים שיכולים להיות מופרשים ביתר מתאי הגידול ניתן לציין הורמון גדילה (GH), הורמון אדרנוקורטיקוטרופי (ACTH) אשר גורם להפרשת קורטיזול (סטרואידים בגוף), הורמון מסוג פרולקטין, הורמון מגרה בלוטת התריס (TSH) והורמוני מין מסוג FSH ו-LH.
כל אחד מסוגי הגידולים ההורמונליים מתבטא בצורה שונה, בהתאם להורמון המופרש: למשל, גידול אשר מפריש הורמון גדילה יוביל להגדלת איברים שונים בגוף כמו כפות הרגליים והידיים ולעיתים אף איברים פנימיים, לדוגמה הלב. גידול זה עלול לגרום למצבים משניים, בהם סוכרת ויתר לחץ דם ואף להוביל לסכנת חיים. הורמון מסוג TSH, גורם להפרשת יתר של הורמוני בלוטת התריס ובעקבות זאת עלול להוביל לתסמינים אופייניים, כמו דופק מואץ.
הפרשה של הורמון מסוג ACTH עלולה להוביל להתפתחות של מחלת קושינג המאופיינת בהשמנה באזורים ספציפיים בגוף בעיקר בשכמות וחגורת הבטן, דלדול וחולשת שרירים, תפיחות ואודם של הפנים, הידקקות העור, שיעור יתר בנשים, וכן גם לשלל סימפטומים נוספים הכוללים הפרעות פסיכיאטריות, שינויים במצב הרוח, יתר לחץ דם סוכרת ועוד.
- גידולים שאינם מפרישי הורמונים
גידולים אלה מובילים לשלל בעיות משניות שמקורן בגדילת הגידול והפעלת לחץ על מבנים שנמצאים בסמיכות לו. גידולים אלה לוחצים לעיתים על הכיאזמה הנמצאת כאמור בסמיכות לבלוטת ההיפופיזה ולגרום להפרעה בשדה הראיה. במקרים קיצוניים לחץ זה עלול לגרום אף לעיוורון. גידולים אלה עלולים להפעיל לחץ גם על הבלוטה עצמה וכתוצאה מכך להוביל לפגיעה בהפרשת ההורמונים התקינה על ידה. גדילת הגידולים יכולה לגרום למגוון תסמינים כלליים, החמרת תסמיני הראיה ופגיעה בהפרשת ההורמונים ולעיתים רבות לכאבי ראש.
כיצד מאבחנים?
אם עולה חשד להפרעה בראייה בשל התפתחות הגידול לרוב תתבצע בדיקת ראייה מקיפה. במקרים בהם הגידול הוביל להפרעה בהפרשת הורמוני בלוטת ההיפופיזה (בין אם מדובר ביתר הפרשה או בחסר הפרשה), יתבצעו בדיקות מקיפות דם לבירור רמת ההורמונים המופרשים מן ההיפופיזה או מבוקרים על ידי הורמונים אלו. אולם, הבדיקה המדויקת ביותר שתוביל לאבחנה היא בדיקת MRI מוח.

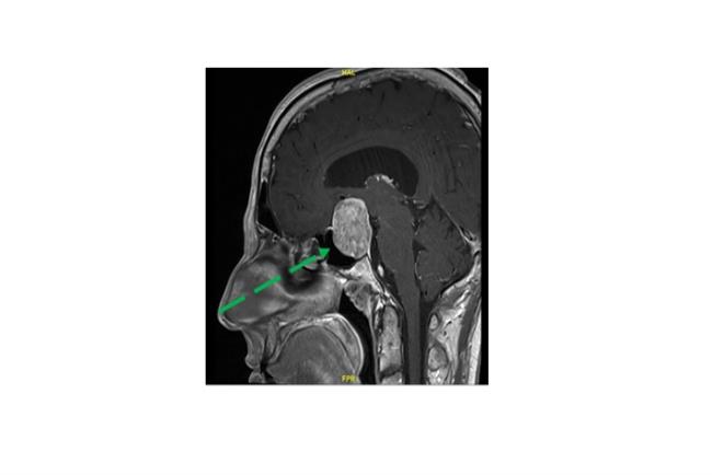
גידול של בלוטת יותרת המוח מסוג מאקרואדנומה היפופיזרית בגבר בן 30 אשר התלונן על הידרדרות מתמשכת בראייה. נותח בגישה טרנס ספנוידלית דרך האף (קו מקווקו ירוק) לכריתה מלאה של הגידול.
איך ניתן לטפל בגידולי היפופיזה?
כאמור, במקרים רבים בהם התגלה גידול בבלוטת יותרת המוח לא יהיה צורך בטיפול. עם זאת במצבים בהם הגידול הוביל לפגיעה בהפרשה ההורמונלית, בראייה, או שגרם לסימפטומים שונים יהיה צורך לבצע ניתוח להסרת הגידול.בעשור האחרון, ניתוחים להסרת גידולי היפופיזה מתבצעים בגישה טרנס-ספנואידלית אנדוסקופית (TSS). כלומר, הגישה לבלוטה מתבצעת דרך חלל האף והסינוס הספנואידלי – חלל ריק המהווה חלק ממערות פנים. גישה אנדוסקופית זו מאפשרת חשיפה טובה יותר של הגידול ותוצאות ניתוחיות טובות יותר.
ניתוחים אנדוסקופים,מצריכים שיתוף פעולה בין רופא אף אוזן גרון אשר סולל את הדרך עד להגעה לגידול ורופא נוירו- כירורג האמון על הסרת הגידול והפרדתו מהמבנים הסמוכים. הגישה החדשנית מונעת את הצורך במעבר דרך רקמת המוח וכתוצאה מכך גם מצמצמת את הסיכון לפגיעה במבנים קריטים לתפקוד, הסמוכים להיפופיזה.
הצלחת הניתוחים האנדוסקופיים של ההיפופיזה הובילה בעשור האחרון ליכולת לבצע ניתוחים לכריתת גידולי בסיס גולגולת מסוגים שונים כגון מנינגיומות, קרניופרינגיומות וכורדומותבגישה אנדוסקופית מתקדמת לבסיס הגולגולת. באמצעות שימוש בגישה זו ניתן למנוע את הצורך בביצוע של הליכים כירורגיים מורכבים המערבים פתיחה נרחבת של הגולגולת ובשל כך גם מצריכים אשפוז ממושך. בדומה לניתוחים אנדוסקופים טרנס ספנוידלים לכריתת גידולים בבלוטת יותרת המוח, ניתוחי המוח המבוצעים בגישה אנדוסקופית מתקדמת לבסיס הגולגולת מאפשרת גישה ישירה לאזור הגידול מבלי לפגום ברקמת המוח. תוצאותיהם של הליכים אלה לרוב טובים יותר, ללא צורך בביצוע חתכים נרחבים בקרקפת או פתיחה נרחבת של הגולגולת , ומצריכים זמן אשפוז קצר יותר.

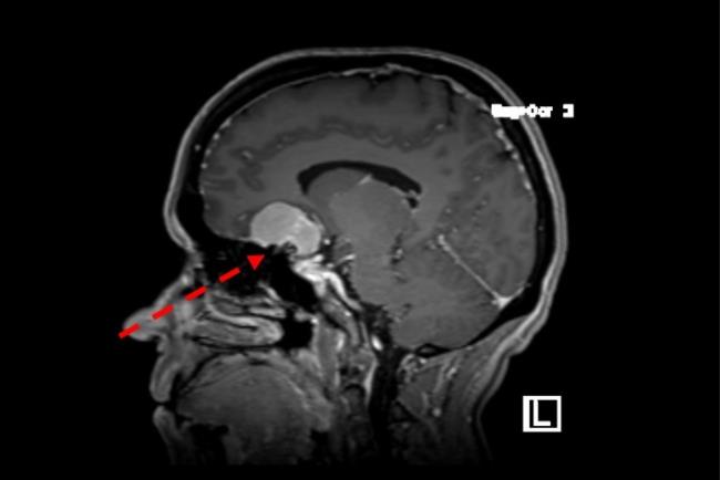
מנינגיומה של בסיס הגולגולת הקידמי (טוברקולום סלה) באישה בת 55 אשר סבלה שנים רבות מכאבי ראש. נותחה בגישה אנדוסקופית (דרך האף) לכריתה מלאה של הגידול
מה צפוי בתקופת ההחלמה לאחר כריתת הגידול?
בסיום הניתוח החולה יעבור להשגחה למשך הלילה בטיפול נמרץ וישתחרר לביתו כעבור 2-3 ימים. במקרים מסוימים בשל הפרעה בהפרשת הורמון מסוג ADH בעקבות הניתוח, קיימת השתנה מרובה (מצב המכונה דיאבטיס אינסיפידוסdiabetes insipidus DI ) אשר לרוב חולף כעבור מספר ימים וניתן לטיפול על ידי הורמון חליפי. לכן, בימים שלאחר הניתוח נדרש מעקב אחר מאזן ההורמונים ואחר מאזן השתיה ומתן השתן. מטרתו היא למנוע התייבשות או הפרעה במאזן המלחים בגוף.בימים שלאחר הניתוח החולה יוזמן לביקורת אצל הנוירוכירורג לצורך קבלת אבחנה פתולוגית של הגידול ויצטרך גם להגיע לביקורת אצל רופא אא"ג. חזרה לעבודה תתאפשר לאחר כשבועיים שלושה ופעילות גופנית לאחר כחודש.
מהן הסכנות?
הסכנה העיקרית בניתוח זה היא דליפה של נוזל שדרה מאזור בסיס הגולגולת אשר עלולה לגרום להתפתחות של זיהום. במקרים הנדירים בהם קיים דלף כזה יש צורך בניתוח נוסף, אשר אינו מערב את המוח, לצורך אטימת הפתח.הכתבה בשיתוף עם פרופ' רחל גרוסמן, סגנית מנהלת המחלקה הנוירוכירורגית בבית החולים איכילוב. הכתבה נערכה על-ידי מערכת אינפומד.
האם המאמר עניין אותך?


















