פרופ' דרור לקשטיין
אתם שואלים – הרופא עונה: מה חשוב לדעת לקראת ניתוח החלפת מפרק ירך?
ניתוח החלפת מפרק ירך הוא אחד מההליכים הוותיקים ביותר בתחום הכירורגיה האורתופדית, המאופיין בסיכויי הצלחה גבוהים. עם זאת, כדי להבטיח את יציבות המפרק לאחר הניתוח ועמידותו לאורך שנים, ישנם מספר פרמטרים שאותם חשוב לבחון לפני קבלת החלטה על ביצוע הניתוח. הנה כמה נקודות שאליהן חשוב להתייחס
בשיתוף עם פרופ' דרור לקשטיין
i
אורתופד בעל נסיון רב בניתוחי החלפות ברך וירך , מנתח בכיר בבתי החולים אסותא, הרצליה מדיקל סנטר ווולפסון
073-7820897
ניתוח החלפת מפרק ירך הוא אחד מהניתוחים המוצלחים ביותר ברפואה בכלל ובתחום האורתופדיה בפרט. הניתוח נועד לטפל בכאבים הנובעים משחיקת סחוס מפרק הירך ולשפר את יכולת תנועת המפרק ואת התפקוד היומיומי של המטופל. למרות שמדובר בהליך ותיק ובטוח יחסית, לקראת ביצוע הניתוח יש מספר סוגיות חשובות שאליהן חשוב להתייחס. אספנו, יחד עם פרופ' דרור לקשטיין, אורתופד בעל נסיון רב בניתוחי החלפות ברך וירך , מנתח בכיר בבתי החולים אסותא, הרצליה מדיקל סנטר ווולפסון ארבע שאלות חשובות - ואת התשובות שחשוב לדעת לפני שניגשים לניתוח.

ChooChin | Shutterstock
1. למי מתאימה החלפת ירך?
ניתוח החלפת מפרק ירך מתאים למטופלים הסובלים מכאבים ממושכים באזור המפרק שלא הוקלו למרות ביצוע של טיפולים שמרניים. ברוב המקרים, מדובר בכאב כרוני אליו נלוות תלונות כמו פגיעה בטווח התנועה והגבלה משמעותית בתפקוד. הסיבה השכיחה ביותר לפגיעה במפרק הירך היא שחיקת סחוסים. אולם, קיימים גם מצבים אחרים העלולים לגרום לפגיעה במפרק, כמו למשל מחלות דלקתיות כגון דלקת מפרקים שגרונית, מצבים לאחר חבלות ושברים, נמק של ראש הירך ואחרים.
בעבר היה נהוג לחשוש מניתוח החלפת מפרק עקב גיל צעיר או מבוגר מדי. כיום, כאשר נעשה שימוש בטכניקות מתקדמות יותר תוך בחירת סוג המשתל המתאים לכל מטופל וכאשר הניתוח מתאים מבחינה רפואית למצב המטופל – הגיל איננו מהווה מחסום, אך בהחלט מהווה גורם נוסף בסך השיקולים של המנתח.
חשוב לציין כי כאבים באזור המפרק אינם בהכרח מעידים על צורך בניתוח להחלפת מפרק הירך. אם מדובר בכאב שמוקרן מעמוד השדרה, אם קיימת דלקת בבורסה הטרוכנטרית (דלקת בגיד המחובר לאזור מפרק הירך, אך איננו מערב את המפרק עצמו), אם התפתחו קרעים בגידים וברצועות סביב מפרק הירך אשר אינם מערבים את המשטח הסחוסי וכן גם אם אובחן מצב אשר גורם לכאב שעשוי לחלוף תוך מספר שבועות (לדוגמה – transient osteoporosis, בצקת חולפת במפרק הירך האופיינית לגברים בגיל העמידה ונשים בהריון, גורמת לכאבים עזים במפרק אשר חולפים לחלוטין תוך חודשיים – שלושה), אין צורך בביצוע הניתוח.
אם הרופא המטפל אינו משוכנע בהתאמה לניתוח, יתבצעו בדיקות נוספות כדי לשלול סיבות חוץ מפרקיות לכאב. כמו כן, במסגרת הבדיקה הטרום ניתוחית יתבצע תשאול מקיף של המטופל ובדיקות הדמיה ומעבדה מתאימות, כל זאת כדי לבצע את הניתוח רק במטופלים המתאימים לכך. כאשר ניתוח החלפת מפרק הוא אכן הטיפול המתאים ביותר עבור המטופל, סיכויי ההצלחה עומדים על יותר מ-95%.
2. מהם סדרי העדיפויות בהחלטות לקראת הניתוח?
מקצוע החלפת המפרקים התפתח רבות מאז היוסדו, לפני יותר מ-70 שנה, והוא איננו מפסיק להשתנות. אולם, סדרי העדיפויות הבסיסיים המתווים את ההחלטות החיוניות במהלך הניתוח נותרו בעינם, זאת למרות מגוון האפשרויות הקיים כיום בכל הנוגע לבחירת המשתל המתאים והטכניקה הכירורגית.
בראש סדרי העדיפויות עומדת בחירה נכונה של משתל וטכניקה הניתוחית שישרתו את המטופל למשך עשרות שנים. בחירת המשתל המתאים עבור כל מטופל, מיקומו וקיבועו באופן המיטבי, כל אלה יסייעו להימנע מסיבוכים שונים, כמו הפרדות המשתל מהעצם או פריקה של המשתל שיצריכו ניתוחים חוזרים.
כמו כן, חשוב לנקוט בצעדים נכונים שיקלו על ההחלמה בטווח הקצר, מיד לאחר הניתוח ויאפשרו למזער את הכאב ולאפשר חזרה זריזה לתפקוד. כיום, ננקטים צעדים לפני הניתוח, במהלכו ואחריו כדי לשרת את מטרות אלה ולהקל על המטופלים באופן משמעותי.

3. מהם סוגי המשתלים הקיימים?
ישנם סוגים שונים של משתלים המשמשים להחלפת מפרק הירך. הבחירה במשתל המיטבי תלויה במאפיינים השונים של המנותח, הן מבחינת רמת תפקודו ומצבו הרפואי והן מבחינת מבנה ואיכות העצם. על מנת לקבל את התוצאות הטובות ביותר יש לבצע תכנון ממוחשב של הניתוח כדי לתכנן את זוויות החיתוך ולבחור את המשתל המותאם לאנטומיה של המנותח.
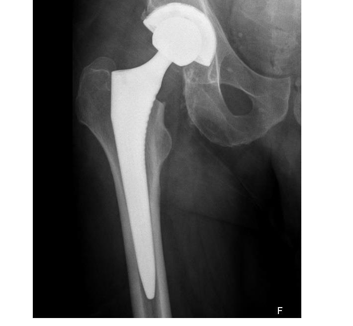
בניתוחי החלפת מפרק הירך מוחלפים שני צדי המפרק במשתלים מלאכותיים: בצד עצם האגן מושם משתל בצורה כיפה קעורה ("המכתש") ובצד עצם הירך משתל קמור ("תפוח").התנועה הסיבובית של המפרק נוצרת בין המכתש לתפוח.באזור המפרק בין המכתש לתפוח ישנן אפשרויות לשימוש בחומרים שונים. כולם טובים, אך לכולם גם יתרונות וחסרונות שכדאי להכיר על מנת לבחור באופן מושכל את המתאים ביותר.
מתכת על פלסטיק
השילוב הוותיק והנפוץ ביותר ברחבי העולם עד היום. משתל זה כולל ראש מתכתי שעשוי מסגסוגת של קובלט וכרום ומכתש מחומר פלסטי (פוליאתילן). שיפורים משמעותיים באופן יצור הפלסטיק מאפשרים היום שימוש בפלסטיק מוקשח המצמצם מאוד את קצב השחיקה של החלק המכתשי, אך עדיין לאורך השנים ובאופן איטי הפלסטיק יכול להישחק ולהצריך ניתוח נוסף בהמשך הדרך. מדובר בשחיקה ממוצעת של כמילימטר אחד כל 10 שנים. לא מומלץ להשתמש באפשרות זו במטופלים צעירים ופעילים.

ראשים קרמים
כדי לצמצם את הסיכוי לשחיקת המכתש הפלסטי ניתן להשתמש בראש מחומר קרמי. הקרמיקה קשיחה, עמידה ובעלת פני שטח חלקים ביותר ולכן מפחיתה בסדרי גודל את הנטייה לשחיקה. פיתוחים חדשים הכוללים הטמעה של ויטמין E בתערובת הפלסטית הפכה אותו לעמיד אף יותר עם שיעורי שחיקה של פחות ממילימטר אחד בכל 100 שנה.

ראשים קרמיים ומתכתיים. באדיבות פרופ' דרור לקשטיין
קרמיקה על קרמיקה
אפשרות נוספת היא להשתמש בחומרים קרמים בשני צידי המפרק – שילוב של ראש קרמי ומכתש קרמי. שני צידי המפרק עשויים מהחומר הקשיח בעל פני השטח החלקים ורמת השחיקה היא אפסית, ולכן זהו שילוב שיש לשקול באנשים צעירים מאוד או פעילים מאוד.
החיסרון העיקרי של השימוש בחומרים קשיחים בשני צידי המפרק הוא כי במקרים מסוימים יכולות להיגרם חריקות בעת תנועת המפרק. למרות שמדובר במצב נדיר, הוא עשוי לגרום לאי נוחות ניכרת ועל כן מומלץ להימנע ממנו. לצד זאת, חשוב לזכור כי החריקות מופיעות בעיקר כאשר המשתלים אינם מוחדרים בזוויות נכונות, דבר אשר מעלה את הלחץ בקצוות המפרק.
מיומנות טובה של המנתח לצד בחירה בטכניקה ניתוחית המאפשרת שליטה וכוונון מדויקים של זוויות ההשתלה ימנעו תופעה זו. כמו כן, במקרים נדירים שבהם מבנה העצמות של המנותח איננו מאפשר להבטיח השמה של המשתלים בזויות נוחות יותר, כדאי להימנע משימוש בשילוב זה.

משתל תנועה כפולה
משתל תנועה כפולה – dual mobility. כולל ראש קרמי שעליו מולבש ראש נוסף מפלסטיק מוקשח, כך שלצד התנועה החיצונית בין חלקי המפרק קיימת גם תנועה בין שני הראשים. משתל ייחודי זה משפר את יציבות המפרק
(צמצום האפשרות לפריקה של המפרק - בריחה של הראש מתוך המכתש), אולם, בשל העובדה שחלקו העליון של ראש המשתל עשוי מפלסטיק קיים פוטנציאל גבוה יותר לשחיקה. לכן, השימוש במשתל תנועה כפולה איננו מומלץ באופן שגרתי, אלא בחולים מבוגרים יותר ופעילים פחות כאשר קיים חשש מוגבר ליציבות המפרק עקב סיבות כגון מחלה נוירולוגית, חולשת שרירי הירך ובחולים לאחר שבר של צוואר הירך.
4. כיצד מקבעים את המשתלים לעצמות?
טכניקת קיבוע המשתלים לעצמות חשובה גם היא לצורך הבטחת השרידות של המשתל ומניעת סיבוכים. בחירה במשתל המתאים לאנטומיה של החולה תאפשר גם אחיזה טובה וממושכת בין העצם לבין השתל. כאמור, קיימים משתלים בגדלים ועיצובים שונים והבחירה במשתל המתאים ביותר תתבצע על פי תכנון ממוחשב. אם קיימת עצם חדשה ומדולדלת (כמו למשל במטופלים עם אוסטיאופורוזיס), הרופא המטפל ישקול להדביק את המשתלים בעזרת מלט עצם (צמנט) – חומר המשמש בניתוחי החלפת ברכיים וכן גם בתחום רפואת השיניים. אם עצמות המטופל חזקות, לרוב ייבחר משתל הנצמד בחוזקה אל העצם ללא צמנט.
משתל ללא צמנט ייצמד בשלב הראשון בחוזקה ובאופן מכני לעצם (בשל התאמה מיטבית של שלו לאנטומיית המטופל וחיתוך מדויק של העצם), אך תוך מספר שבועות העצם תצמח ותגדל לתוך פני השטח המחוספסים של המשתל כך שיהוו יחידה אחת והמשכית, או במילים פשוטות יותר ייווצר קיבוע ביולוגי.

5. כיצד יודעים מהי שיטת הניתוח המתאימה ביותר עבורה?
ישנן גישות ניתוחיות שונות לביצוע של החלפת מפרק ירך הנבדלות אלה מאלה בעיקר באזור שדרכו נחשף המפרק, תוך מעבר בין הרקמות הרכות המקיפות אותו (העור, רקמת השומן, השרירים והרצועות).
הנפוצות הן הגישה האחורית, הגישה הצידית והגישה הקדמית. שלושת הגישות וותיקות ומוכרות לאורתופדיה מזה עשרות שנים. שלושתן מצוינות, אך לכל אחת מהן יתרונות וחסרונות.

הגישה הצידית
מאפשרת את החשיפה הנוחה והברורה ביותר של המפרק וכך גם את התאמת המשתלים באופן המדויק ביותר ובהתאם למבנה ואיכות העצם של כל מטופל. מטרתה היא להבטיח את הצבת המפרק באופן מדויק כך שיוכל לשרת את המטופל לאורך שנים. כמו כן, בשיטה זו הסיכוי לפריקת המפרק זניח וקיים סיכון מזערי לסיבוכים כגון פגיעה עצבית או שברים במהלך הניתוח. ניתן לבצע את הניתוח בגישה הצידית כאשר המטופל שוכב על גבו או על צידו, על פי העדפת המנתח.
הגישה האחורית
מאפשרת אף היא חשיפה נוחה וברורה של המפרק ויתרונות רבים שלה דומים לאלו של הגישה הצידית.
אולם, ביצוע הניתוח בגישה זו כרוך בפגיעה בשרירים ובמעטפת המפרק הנמצאים בצידו האחורי ולכן גישה זו מערבת שיעור גבוה יותר של פריקות, המצריכות שחזור המפרק תחת שיקוף ולעיתים באופן ניתוחי. את הגישה האחורית מבצעים כאשר המטופל שוכב על צידו.
הגישה הקדמית
כוללת חתך עור בקדמת מפרק הירך (אזור המפשעה), כניסה במרווח בין שרירי קדמת הירך וניתוק שרירים ורצועות באחורי הירך בכדי לנייד את עצם הירך ולאפשר ביצוע הניתוח. היתרון המרכזי של גישה זו הוא קיצור הזמן בו נדרשים המטופלים להשתמש בהליכון או מקל הליכה בשבועות הראשונים שלאחר הניתוח. עם זאת, שדה העבודה של הרופא המנתח והגישה למפרק מצומצם יותר ולכן יש חשש מסוים בכל הנוגע לשרידות המפרק לאורך שנים. כמו כן, קיים סיכון לשברים תוך ניתוחיים ופגיעות עצביות.
חשוב לציין כי שלושת הגישות טובות ומוצלחות וההבדלים ביניהן באים לידי ביטוי רק באחוזים קטנים של המטופלים. רוב המחקרים הראו כי לאורך זמן התוצאות זהות ברוב המכריע של המקרים.
לסיכום, למרות שניתוח החלפת מפרק ירך נחשב להליך כירורגי בטוח מאוד, כדי להגדיל את הסיכוי להצלחת הפעולה ולשרידות המשתל לאורך זמן, מומלץ לפנות לאורתופד בעל ניסיון בביצוע החלפת מפרק. מנתח מיומן ידע לבצע התאמה מיטבית של המטופלים המועמדים לניתוח ולבחור את המשתל והגישה הניתוחית המתאימה ביותר לכל מטופל לשם קבלת תוצאה מוצלחת.
הכתבה בשיתוף עם פרופ' דרור לקשטיין אורתופד בעל נסיון רב בניתוחי החלפות ברך וירך , מנתח בכיר בבתי החולים אסותא, הרצליה מדיקל סנטר ווולפסון. הכתבה נערכה על-ידי מערכת אינפומד.
האם המאמר עניין אותך?