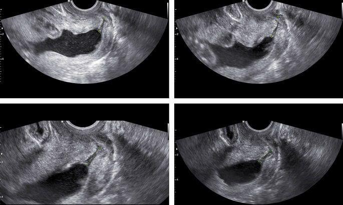
אי ספיקת צוואר הרחם (Incompetence of uterine cervix) היא אחת הסיבות השכיחות להפלות, בעיקר בשליש השני של ההריון, וגם ללידות מוקדמות. המשמעות של אי ספיקת צוואר הרחם היא אי ספיקה (התרחבות או פתיחה) של הפה הפנימי של הצוואר (Internal cervical os) או התקצרות הצוואר לפני המועד, שמסכנים את המשך ההריון.
פרופ' משיח שלמה
סיבות וגורמי סיכון
אי ספיקת צוואר הרחם יכולה להיות מולדת. אולם פגם לידה זה נדיר למדי, הוא עלול להימצא אצל נשים שהיו חשופות לתרופה בשם (DES (Diethylstilbesterol בהיותן עובר ברחם אמן. תרופה זו הייתה מקובלת בשימוש בעבר לתמיכה בהריון עבור נשים שסבלו מהפלות חוזרות.
אך ברוב המקרים אי ספיקת צוואר הרחם היא תולדה של הרחבת צוואר הרחם לצורך סיוע בלידה או ביצוע הפלה מלאכותית (גרידה). בתהליך ההפלה המלאכותית יש צורך בהרחבת הצוואר לשם ריקון הרחם. לפעמים, גם טראומה, נזק או פעולות כירורגיות אחרות בצוואר הרחם עלולות לגרום להתפתחות אי ספיקת צוואר הרחם בהריון.
קיימות שתי שיטות להרחבת צוואר הרחם:
בשיטה שאינה נכונה מרחיבים את צוואר הרחם באמצעות מרחיבים מתכתיים הנדחפים לתוך הרחם, לעיתים בכוח, ואשר עלולים לגרום נזק לסיבים האלסטיים של הצוואר ולהביא לאי-ספיקה בו בעתיד. בשיטה הראויה הנהוגה כיום במרבית בתי החולים המבצעים הפלות, מכניסים לצוואר, שעות ספורות לפני ריקון הרחם, אמצעי הנקרא למינריה. הלמינריה הוא ענף של צמח שיש לו תכונות היגרוסקופיות, כלומר הוא צובר נוזלים ומתרחב בהדרגה ובאיטיות כך שאינו גורם נזק לפה הפנימי של הצוואר. לעיתים נדירות יותר נגרמת אי-הספיקה בעטיין של הפלות טבעיות, או נזקים לצוואר הרחם עקב לידה קשה ומכשירנית.
טיפולים ותרופות
כאשר מאבחנים אי ספיקת צוואר הרחם, מטפלים על ידי תפירת הצוואר (Cercloge) במידה שקיימת סכנה להמשך ההריון.
הטיפול כרוך בניתוח פשוט ו"גאוני" שבוצע לראשונה על ידי מנתח-גינקולוג הודי בשם שירודקר (Shirodkar), ועבר עם השנים מספר שיפורים. בשיטה זו מכניסים תפר מלאכותי העשוי מחומר הנקרא מרסילון (ניתן לתפור גם בתפר משי או בכל חומר אחר) לרקמת הצוואר כדי שיקיף ("יחבוק") את הצוואר בגובה הפה הפנימי של הצוואר לערך, וימנע על ידי כך את פתיחתו של הצוואר.
כאשר מאובחנת אי ספיקת צוואר הרחם בטרם הריון, נעשית התפירה בצורה בררנית בשבועות מוקדמים של ההריון (15-12). אם האבחון לא היה מוקדם ואי-הספיקה אובחנה בשל קיצור צוואר הרחם בבדיקת על-שמע במהלך ההריון, ניתן לבצע גם תפירת צוואר מאוחרת, אולם סיכוייה של זו להצליח קטנים יותר.
מוציאים את התפר על פי רוב בשבוע ה-38 להריון, וברוב המקרים אפשרית גם לידה לדנית.