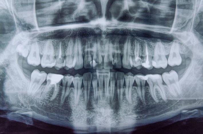
[1] צילום שיניים פנורמי הוא צילום רנטגן שמראה את כל המבנים בפה בתמונה אחת, כולל השיניים העליונות והתחתונות, מפרקי הלסת, העצבים, הסינוסים והעצם התומכת. בצילום רנטגן נעשה שימוש בקרינה אלקטרומגנטית כדי לצלם את החלקים הפנימיים של הפה. קרן הקרינה עוברת דרך הרקמות הרכות של הפה ויוצרת תמונות של השיניים והעצמות. רופאי שיניים משתמשים בצילומי רנטגן כדי לבחון מבנים שהם לא יכולים לראות במהלך בדיקה שגרתית, כמו עצם הלסת, העצבים, הסינוסים ושורשי השיניים. בשונה מצילום רנטגן מסורתי (באמצעות סרט צילום) צילום שיניים פנורמי הוא לרוב דיגיטלי (באמצעות חיישנים דיגיטליים ומחשב) ונעשה שימוש ב-80% עד 90% פחות קרינה בהשוואה למכונות רנטגן מסורתיות.
צילום: shutterstock | ERIK Miheyeu
מטרה
צילום רנטגן פנורמי מאפשר לרופא השיניים לקבל סקירה כללית של כל חלקי הפה בצורה חדה וברורה, ובכך לאתר בעיות בריאותיות הקיימות בפה. בעזרת צילום פנורמי ניתן לתכנן את תכנית הטיפולים עבור שיניים תותבות, יישור שיניים, עקירות ושתלים[2].
מחלות ומצבים בריאותיים שהבדיקה יכולה לזהות
צילומים פנורמיים עוזרים לרופא/ת השיניים לאבחן מגוון רחב של בעיות בריאות הפה כגון[1]:
צורך בטיפולים כמו השתלות שיניים, פלטה או שיניים תותבות.
מצב ההחלמה גם לאחר הליכים מסוימים, כגון השתלות עצם דנטליות וטיפול שורש.
אוכלוסיות בסיכון
נשים בהיריון – יש ליידע את הרופא/ה.
אופן ביצוע הבדיקה
הכנות לבדיקה
צילום פנורמי דורש מעט מאוד הכנה. יש לעדכן את הרופא/ה אם יש או שקיים חשד להריון. יש להסיר כל תכשיט, משקפי ראייה או חפצי מתכת שעלולים להפריע לתמונות הרנטגן. יש ללבוש סינר עופרת כדי להגן על שאר הגוף מכל חשיפה לקרינה[2].
מהלך הבדיקה
[3] לאחר ההכנות לבדיקה המטופל/ת ימוקמו ליד המכונה הפנורמית. יש לעמוד גבוה וייתכן שיהיה צורך לנשוך במקל פלסטיק עם השיניים הקדמיות בזמן שהסנטר מונחת על סטנד. טכנאי או טכנאית הרנטגן יבצעו את כל ההתאמות הנדרשות עם המכשיר. במקרה של מחסור בשיניים של המטופל/ת, ייתכן שיהיה צורך בעזרים נוספים כגון גלילי צמר גפן.
בזמן הצילום יש לאחוז בידיות המכונה כדי לשמור על יציבות ומיקום נכונים. לתוצאה טובה, עמוד השדרה חייב להיות ישר ככל האפשר וייתכן שיהיה צורך להטות את הראש או לחייך תוך שמירה על המיקום. בנוסף, תומכים יונחו בעדינות בצדי הראש כדי לעזור לשמור אותו יציב, ויש להניח את הלשון על גג הפה ולסגור את השפתיים סביב מקל הנשיכה למשך ההליך.
לבסוף מגיע שלב צילום הרנטגן. הטכנאי/ת ייצא מן החדר או יעמוד מאחורי מחסום כדי לצלם צילום פנורמי. החשיפה אורכת כ-15 שניות וחשוב לא לזוז בזמן זה. בתום הצילום תיערך סקירה ראשונית כדי לוודא שהצילום הפנורמי מספק ושכל המבנים נראים בבירור. במקרים מסוימים ייתכן שיהיה צורך לצלם מחדש עם התאמות חדשות. בדיקה מלאה של הרנטגן נעשית במועד מאוחר יותר.
אזהרות
סיכון: מינון החשיפה של המטופל/ת לקרינה נשמר נמוך ככל האפשר על מנת למזער סיכונים אך מספיק למקסם את הערך האבחוני. מינוני קרינה של צילום פנורמי נחשבים לנמוכים מאוד, בדומה לרמות הקרינה אליהן אנו נחשפים מדי יום ממקורות טבעיים[3].
הריון: יש ליידע את הרופא/ה.
פענוח תוצאות
צילומים פנורמיים מספקים לרופא השיניים מידע חיוני באבחון ובתכנון הטיפול עבור המטופלים/ות. באופן כללי, ניתן לראות את המבנים של מפרק הלסת בצורה טובה יחסית. צילום פנורמי משמש בדרך כלל כבדיקת סקר ראשונית הזולה בהרבה מ-CT או MRI. למרות שלא ניתן לראות שינויים עדינים בבירור בצילומים פנורמיים, ניתן לזהות חריגות של משטחים או מפרקים, כגון שחיקות בינוניות עד חמורות, היווצרות אוסטאופיטים (דלקת במפרקים), ספיגה בשן ושברים. בדיקה זו יכולה לשמש גם ככלי הערכה כללי לשלילת חריגות בלסת העליונה, הלסת התחתונה ובשיניים[4].
כאשר הרופאה רושמת יציבות השתלים ++ לאחר התקנתם, למה הכוונה? איך מערכים יציבות ? האם זה הכי טוב שאפשר? (כלומר כמה + אפשר שיהיו ?) והאם בכלל ניתן לדעת את יציבות השתלים בו ביום שהותקנו ? האם לא צריך לחכות קצת שיתאחו עם העצם ?
שלום רב, ניתן לדעת את יציבות הראשונית של השתל לפי דחיסות העצם, וחיכוך של השתל עם העצם. בנוסף, יש מכשיר מדידה שיכול לבדוק את היציבות. כאשר השתל לא יציב, יודעים זאת, במיוחד שיש עצם מאןד דלילה.
הוסף תגובה
שתלים
רותי12/04/2024 | 15:35
רציתי לדעת האם כדאי לעשות הקצעת שורשים בשתלים . תודה
שלום רב, אין דבר כזה ״הקצעת שורשים בשתלים״ מפני ששתל הוא בורג עם תבריגים לעומת שורש שן עם משטח חלק. לא ניתם להחליק ולנקות תבריגים מזוהמים בפעולת של הקצעה או ניקוי כמו שמבצעים בשיניים. לצורך כך, ישנם שיטות אחרות לניקוי של סלילי השתל לדוג: שימוש באנרגיית האור, מברשות טיטניום, התזת חול, שטיפה כימית וכד.
שלום רב, פרנקטומי זה אחד הטיפולים המומלצים לביצוע באמצעות לייזר דנטלי, היתרונות הבולטים של טיפול פרנקטומי בלייזר הוא שאין דימום, לכן אין צורך בתפרים, הפרוצדורה פשוטה ונוחה, עם החלמה מדהימה, כמעט ללא כאב או אי נוחות לאחר הטיפול. פרנקטומי באמצעות סכין מנתחים חותך כלי דם, יוצר דימום מסיבי בזמן הפרוצדורה ומצריכה תפרים לעצירת דימום וגורם לכאבים ואי נוחות בגלל פגיעה בכלי דם. לסיכום - טיפול בפרנקטומי מבצעים רק בלייזר מסוג ארביום או דיודה. חשובה מאוד הכשרה ומיומנות רופא.
הוסף תגובה
פרקטומי תופעות לוואי
טל25/02/2020 | 22:22
היי, האם פרנקטומי יכול ליצור שינוי בצורת השפה העליונה? כגון נפילתה או כדומה?
הוסף תגובה
ניתוח פרנקטומי
חן גולדשמידט08/07/2022 | 13:06
שלום רב, האם ניתוח זה בחיבור בין השפה העליונה לחניכיים העליונות, יכול לפגוע במראה השפתיים? נפילה של השפה העליונה? או כל השפעה אחרת- גם לא קוסמטית שאינה רצויה? מדובר בניתוח לילדה בת 14 כדי למנוע רווח בין השיניים, ולפני טיפול אורתודנטי לקרב בין השיניים. תודה רבה מראש
אני בת 73. יש לי רווח בין שתי השיניים הקדמיות, שעם הגיל התרחב לי. כמו כן יש שחיקה בשתי החותכות לידן דבר שגורם לשיניים לשנות את צבעם. בקיצור ארבעת השיניים החותכות אפורות. הוצע לי לעשות הדבקת כתרי חרסינה לארבעת השיניים כשהצבע שלהם יהיה תואם לניבים. האם זה מומלץ ומה המשמעות של כתרים כאלה? האם מספיק עמידים? (אגב, נעשה לי צילום סטטוס לבדיקת כל הפה).
שלום רב, ישנם טיפולים פחות פולשניים מהכתרת שיניים קיימות. ֿ לשם כך ,יהיה קשה לייעץ לך ללא בדיקה קלינית. במידה ואת מחליטה בכל אופן לבצע כתרים, מומלץ לבצע השחזה זעיר-פולשנית ללא טיפולי שורש ו/או מבנים, תחת מיקרוסקופ טיפולי לדיוק מקסימלי.
הילד שלי בן 6, מאוד מפחד ברופא שיניים. ממש רועד ומזיע. הרופא הציע כדור הרגעה לפני טיפול, אבל אני לא בעד. יש לך רעיון לטיפול במיקרוסקופ שיכול לקצר או לשפר משהו בתהליך? צריך לעבור כמה טיפולים פשוטים. תודה רבה מראש על התשובה
שמו לי שתל בלסת עליונה לפני שבועיים. אתמול הסירו לי תפרים. היום הרגיש לי משהו בלשון ומסתבר שלא כל התפרים הוסרו. רופאת השיניים שלי בחו"ל ותהייה רק ביום ראשון חזרה האם יש איזשהו סיכון לחכות עד אז ? מה מומלץ לעשות ?